黑牙齿

儿童牙齿黑斑怎么回事,龋齿都集中在哪个年龄段
图片尺寸500x285
小孩子牙齿变黑,大部分都是这样造成的,年轻爸妈注意了
图片尺寸949x568
互动问答| 吸烟牙齿变黑了,怎么办?
图片尺寸400x300
孩子的牙齿变黑怎么办?别害怕,很容易就能去除
图片尺寸641x668
我的牙齿内侧发黑怎么办我不抽烟喝酒的,对不起恶心大家了.
图片尺寸247x274
古代日本贵族为何会喜欢用铁浆染黑牙齿
图片尺寸640x383
看看黑人不止皮肤好黑牙齿也是黑的.
图片尺寸720x1280
满口牙齿外面全都有黑色牙垢,刷牙可以去掉一点牙垢,到底是哪里的问题
图片尺寸2100x1575
牙齿变黑,可不一定是蛀牙惹的祸!
图片尺寸1080x647
儿童牙齿发黑怎么办
图片尺寸414x240
5岁娃牙齿全变黑牙罪魁祸首不是糖果而家长却时常忽略
图片尺寸640x553
小朋友牙齿上的黑色素能去掉吗?
图片尺寸830x540
牙齿内部发黑
图片尺寸500x421
烟民牙,可乐牙,咖啡牙,你是什么牙?_牙齿
图片尺寸1080x720
河马牙医,聊聊牙齿的那些问题~之前做过一次关于牙齿美白的话题,底下
图片尺寸640x427
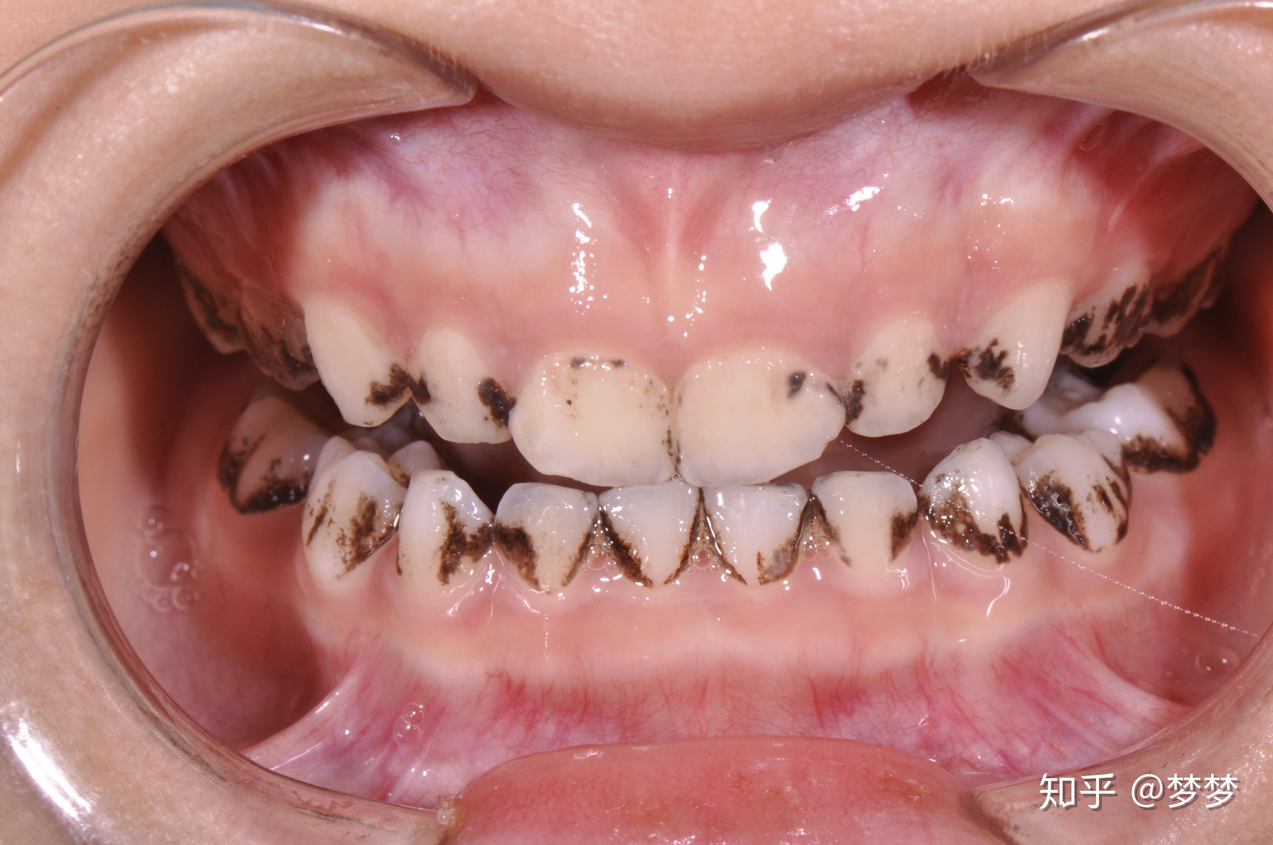
三岁宝宝的牙齿黑怎么办? - 知乎
图片尺寸4096x2720
3岁的鹏鹏从小就有含着奶瓶入睡的不良习惯,久而久之,有几颗牙齿慢慢
图片尺寸800x533
牙齿发黑怎么办 求医生 帮忙
图片尺寸780x1040
老师跟圆圆的妈妈沟通之后,才了解到,圆圆是因为牙齿发黑才变成这样的
图片尺寸750x500
孩子牙齿上的黑色素是什么可以去除吗
图片尺寸508x559