黑色素瘤病理

显微镜下黑色素瘤活检
图片尺寸1200x801
病理视角|外阴原位黑色素瘤,恶性黑色素瘤_医学界-助力医生临床决策和
图片尺寸1080x1440
病例分析2*黑色素瘤he形态多样,病理诊断上具有一定的难度与挑战性
图片尺寸765x574
恶性黑素瘤(黑色素瘤)的病理知识
图片尺寸640x427
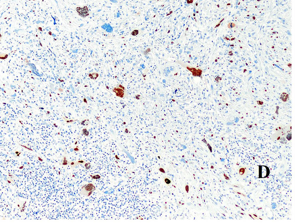
头颈部病理十大-促纤维增生性恶性黑色素瘤十大鉴别(二)
图片尺寸640x480
四例原发性肺恶性黑色素瘤患者的临床特征并文献复习
图片尺寸2756x1646
头颈部病理十大-促纤维增生性恶性黑色素瘤十大鉴别(二)
图片尺寸640x478
膀胱恶性黑色素瘤
图片尺寸1181x945
头颈部病理十大-促纤维增生性恶性黑色素瘤十大鉴别(二)
图片尺寸983x745
三甲病理现场课程学习笔记黑色素瘤病例分享
图片尺寸714x538
三甲病理现场课程学习笔记黑色素瘤病例分享
图片尺寸714x538
三甲病理现场课程学习笔记黑色素瘤病例分享
图片尺寸714x538
黑色素瘤病理诊断临床实践指南(2021版)解读
图片尺寸606x372
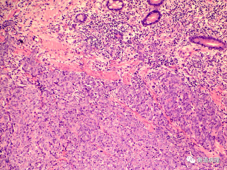
【衡道丨笔记】「三甲病理现场」课程学习笔记(十八):恶性黑色素瘤的
图片尺寸1080x961
脑干典型黑色素瘤——你见过吗
图片尺寸2000x2000
头颈部病理十大-促纤维增生性恶性黑色素瘤十大鉴别(二)
图片尺寸607x480
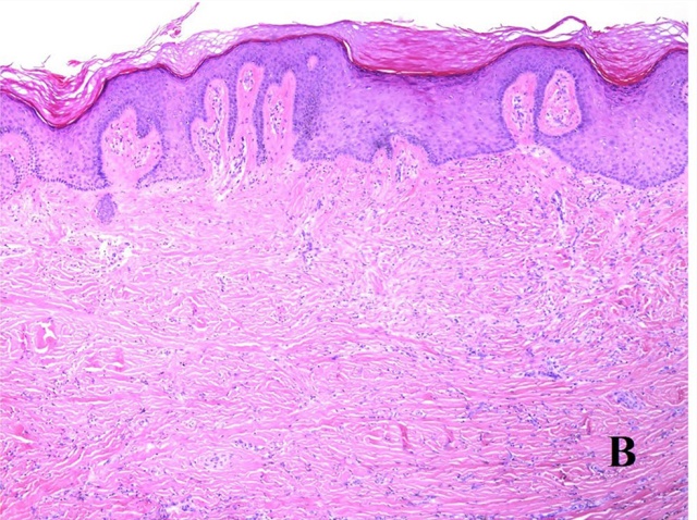
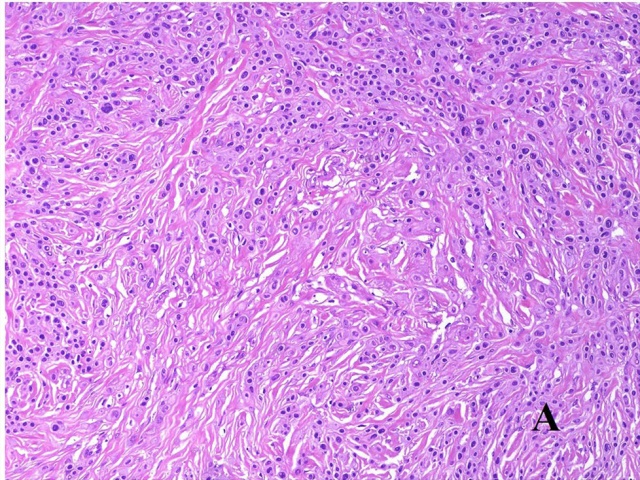
「三甲病理现场」课程学习笔记:黑色素瘤病例分享|黑色素瘤|横纹肌样
图片尺寸929x698
dpn和其不典型类型和黑色素瘤在病理切片下的鉴别_医学界-助力医生
图片尺寸1080x864
「三甲病理现场」课程学习笔记:黑色素瘤病例分享|黑色素瘤|横纹肌样
图片尺寸666x501
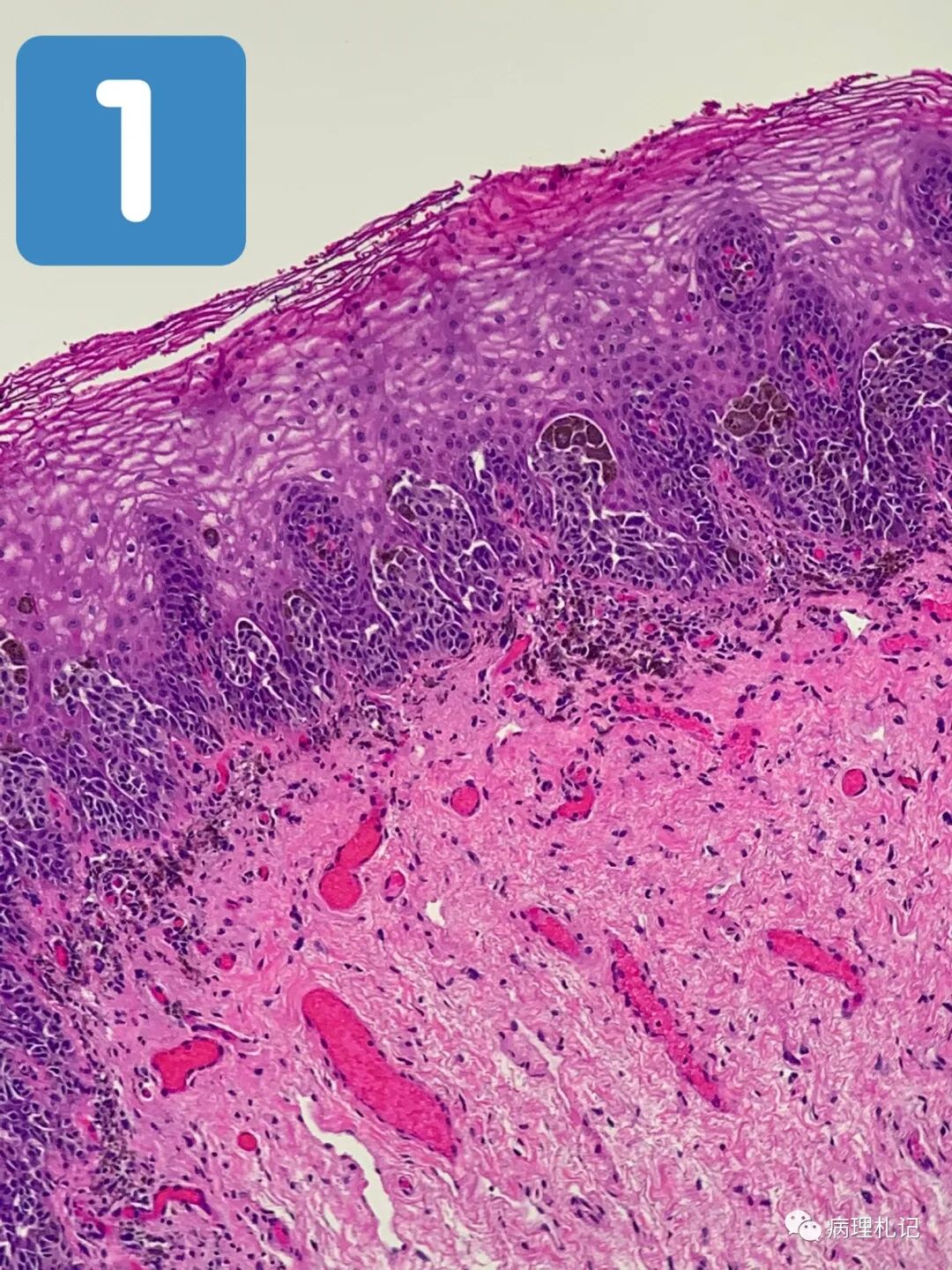
良性幼年黑素瘤
图片尺寸1000x691