鼻癌肿瘤

鼻腔癌
图片尺寸468x339
鼻咽癌治疗大块肿瘤通过微创彻底消除绽放生命奇迹
图片尺寸640x1138
鼻咽癌治疗:大块肿瘤通过微创彻底消除,绽放生命奇迹!
图片尺寸640x854
这个恶性肿瘤藏在隐秘的角落
图片尺寸1000x1000
鼻咽恶性肿瘤-原图04-无特殊裁剪要求.jpg
图片尺寸900x1200
以地名命名的恶性肿瘤——鼻咽癌(广东瘤),不容小觑
图片尺寸640x241
鼻咽癌治疗大块肿瘤通过微创彻底消除绽放生命奇迹
图片尺寸640x1138
鼻腔癌放疗计划
图片尺寸4032x3024
鼻咽癌 - 肿瘤医学专业讨论版 - 爱爱医医学论坛 - 爱爱医医学网
图片尺寸3192x2348
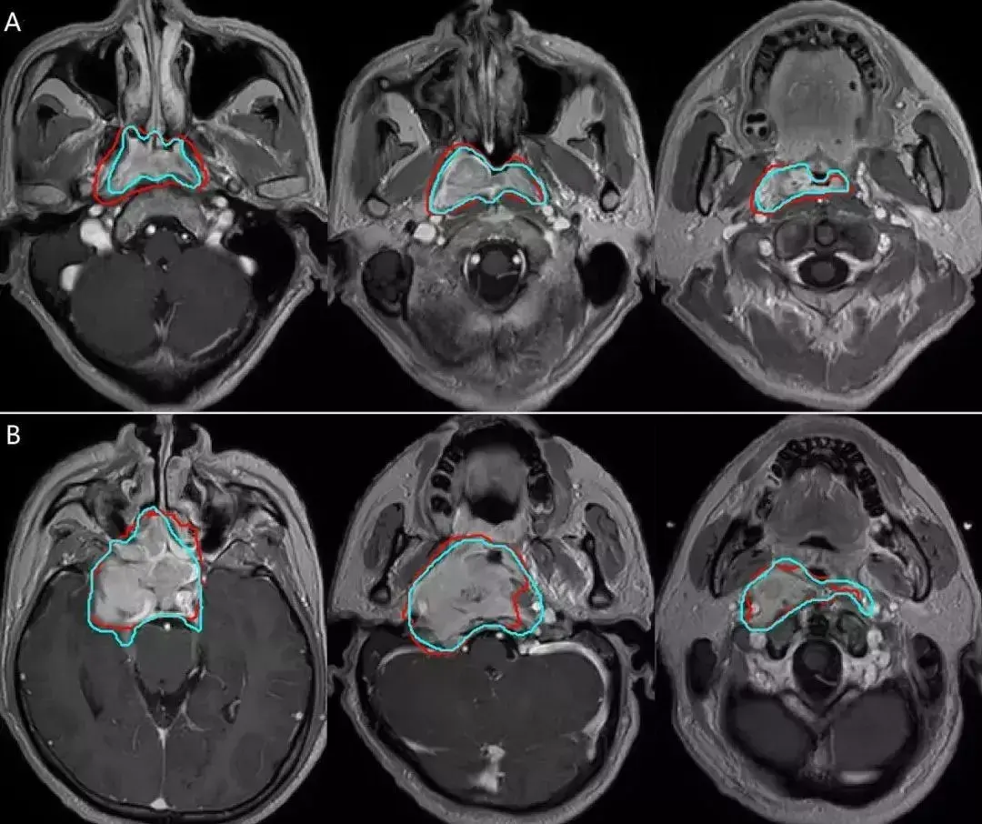
周围颅底骨质及颅内软组织的侵犯情况,对鼻咽癌肿瘤的分期有指导意义
图片尺寸993x872
昆明治疗鼻腔癌的医院在哪
图片尺寸450x300
相对于肺癌,乳腺癌这些常见的恶性肿瘤,鼻咽癌似乎不常被大家认知.
图片尺寸600x600
成华东区医院_成都东区中医肿瘤研究院_成都中医专业肿瘤中医院
图片尺寸640x359
鼻咽癌治疗:大块肿瘤通过微创彻底消除,绽放生命奇迹!
图片尺寸640x853
肿瘤影像与放疗之头颈鼻咽癌
图片尺寸920x690
李宗伟患鼻癌两年后,花936万治愈:又有几个癌症患者有936万?
图片尺寸613x300
爱吃这类食物的人,尤其要警惕|鼻咽癌|肿瘤|中耳炎|症状_网易订阅
图片尺寸436x482
中山肿瘤联合视见科技和港中大实现鼻咽癌放疗靶区人工智能自动勾画
图片尺寸1080x906
鼻咽癌|恶性肿瘤|放疗|扁桃体|血管瘤_网易订阅
图片尺寸455x319
肿瘤|恶性肿瘤|鼻咽癌|放疗|治疗_网易订阅
图片尺寸660x688