鼻空肠管x线图片

遵医附院重症医学二科成功开展电子胃镜引导下鼻空肠管置管术
图片尺寸550x718
九江学院附属医院开展胃肠蠕动法置入鼻空肠管技术
图片尺寸500x455
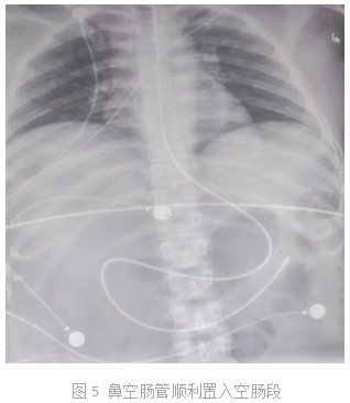
鼻空肠管置管的x线判定
图片尺寸558x702
"徒手盲插鼻空肠管置入术"在不依赖其他任何辅助设备的情况下,徒手将
图片尺寸589x785
鼻空肠管置管的x线判定
图片尺寸590x748
鼻肠管对于长期需要管饲喂养,胰腺炎,幽门狭窄,肺部感染,俯卧位通气等
图片尺寸1000x1000
腹部x线是判断鼻肠管末端位置的金标准
图片尺寸537x496
新版鼻胃管
图片尺寸1080x748
中心医院护理团队在b超引导下为重症急性胰腺炎患者成功置入鼻肠管
图片尺寸617x654
新余第四医院内科护理组成功完成首例床旁盲插鼻肠管
图片尺寸600x800
郓城县人民医院:重症医学科鼻空肠管置管技术开展
图片尺寸1080x1769
可以通过听诊,测定消化液的ph,以及拍摄腹部x线片来进行位置的判断.
图片尺寸500x507
南阳首例鼻空肠管盲插置管术在我院成功开展
图片尺寸860x1002
空肠管总是盘曲在口腔这个技巧让你67下管如有神
图片尺寸318x366
厦门市中医院康复科开展我院首例超声引导下鼻空肠管置管护理新技术
图片尺寸1080x810
重症医学科成功完成首例鼻肠管置入术
图片尺寸640x480
寿光市人民医院床旁鼻肠管盲插技术让患者治疗更加方便
图片尺寸750x1000
食管,胃部,幽门,十二指肠置入到空肠位置,经术后x线检查证实鼻肠管
图片尺寸1080x674
鼻肠管留置的位置如何判定?ppt全面告诉你!
图片尺寸640x480
恩施市中心医院成功开展首例鼻肠管盲插植入术
图片尺寸608x700