鼻窦癌ct图片

求助各位同仁这位5岁男孩鼻子中的灰白色肿物是肿瘤还
图片尺寸3005x3569
22岁男性上鼻窦疑似恶性肿瘤,但是做了全身ct没有转移,怎么判断早期
图片尺寸1280x960
团队收治的一位难治性鼻窦癌患者ini-1缺失,罕见分类,团队开启烧脑
图片尺寸1277x1079
鼻窦ct发现左侧上颌窦肿瘤!鼻内镜发现左侧鼻腔出血性肿瘤!
图片尺寸2976x3968
ct也提示有鼻咽部肿物,eb病毒抗体呈阳性,这些都是鼻咽癌的危险指标
图片尺寸660x553
鼻窦炎鼻中隔偏曲有会看ct的姐妹吗
图片尺寸1080x1439
有人懂鼻窦炎吗救救孩子急
图片尺寸1080x1440
鼻咽癌的ct诊断与鉴别诊断整理
图片尺寸1080x810
鼻窦ct扫描技术 放射
图片尺寸960x1206
脸颊滚烫,我很担心,因为刚知道了还有一种癌叫鼻窦癌.
图片尺寸959x1280
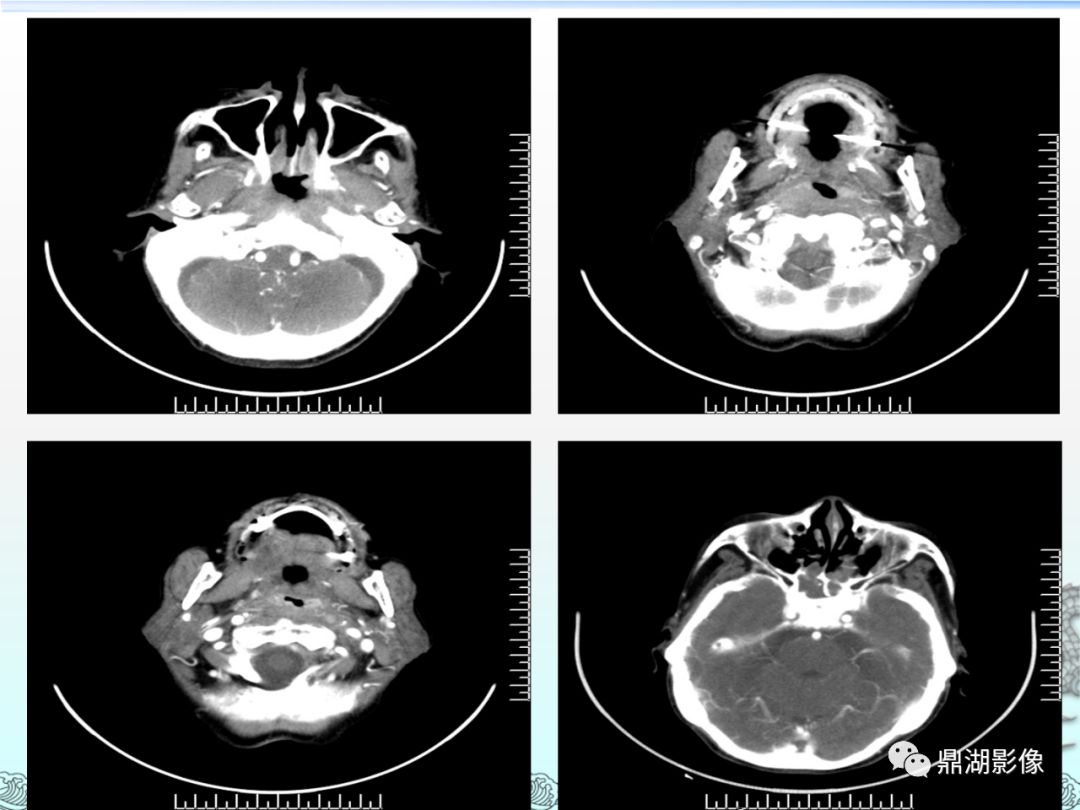
【分享】鼻窦肿瘤ct图片汇总
图片尺寸640x480
鼻咽癌的ct诊断与鉴别诊断整理
图片尺寸1080x810
真菌性鼻窦炎手术痊愈了!
图片尺寸1026x1280
放暑假后,一家人带小海去了信阳市里某医院做检查,内镜,ct查了个遍,但
图片尺寸1080x810
丁香园
图片尺寸2068x3100
28岁女性鼻咽癌复发—质子治疗【携康就医指南】鼻咽癌出国治病
图片尺寸640x619
质子治疗钱的鼻咽癌ct
图片尺寸547x552
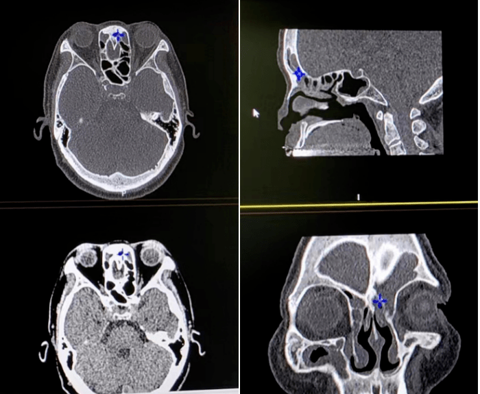
副鼻窦病变有特点
图片尺寸560x640
在排除放疗禁忌症之后,开始针对鼻咽癌ct定位后,进行放射治疗,剂量2.
图片尺寸499x280
鼻窦ct检查除此鼻内镜和ct之外,医生还会根据患者情况,安排鼻窦糯
图片尺寸700x575