齿状核解剖mri图

神经影像学培训教材ppt
图片尺寸1080x810
眩晕课堂799讲——眩晕与"月牙型"小脑齿状核
图片尺寸1133x1345
其它 重阳医院磁共振检查应用 写美篇 磁共振成像(mri)检查由于
图片尺寸664x650
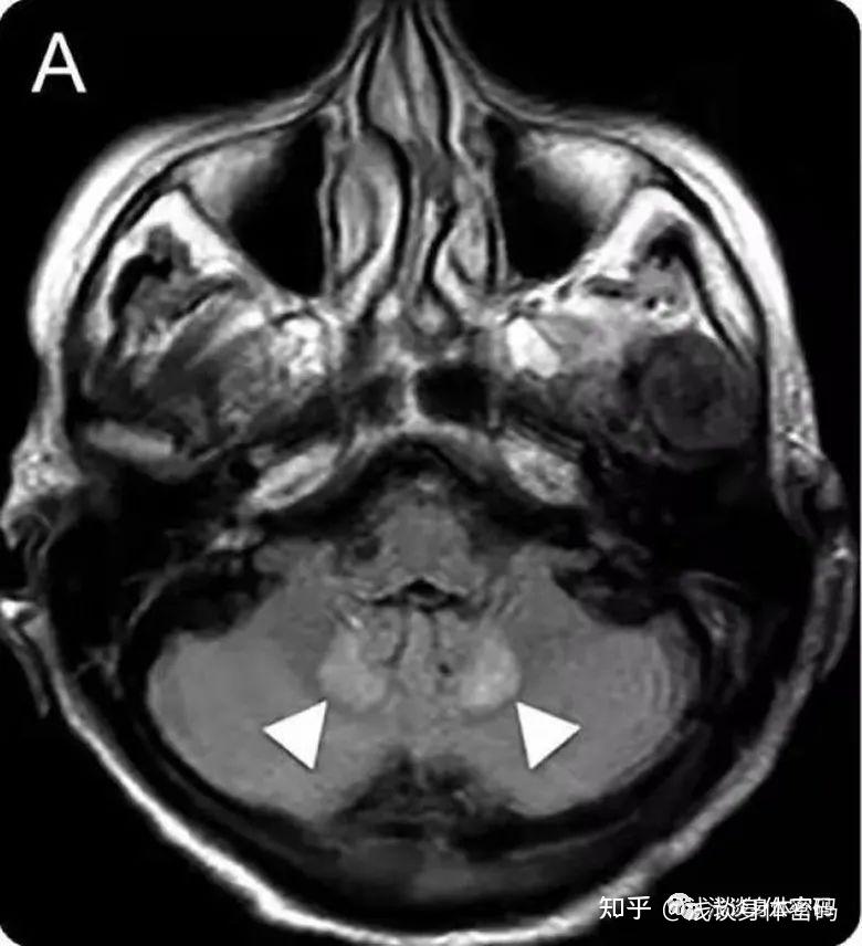
停用甲硝唑6周后复查颅脑mri示病灶消退.
图片尺寸1080x1233
病例学习:游离齿状突1例
图片尺寸591x800
mri颅脑横断面解剖图谱
图片尺寸1080x810
头颅mri:双侧基底节区t2wi低信号,tiwi高信号(见下图).
图片尺寸667x807
想通过mri的矢状面把成人颌面部的舌头咽腔尺寸信息测量一下
图片尺寸960x581
眩晕课堂799讲——眩晕与"月牙型"小脑齿状核
图片尺寸1132x1463
甲硝唑脑病是个啥
图片尺寸780x856
颅脑横断层解剖和ct,mrippt
图片尺寸1080x810
figure 5. ktrans mapping of hemangioblastoma.
图片尺寸1147x691
68岁女性,swi显示齿状核,红核,黒质铁沉积
图片尺寸640x480
蒲军教授团队:3例经口咽前路齿状突松解-后路枕颈融合内固定术治疗
图片尺寸1038x549
头颅mri断层解剖ppt
图片尺寸1080x810
齿状突加冠综合征(crowned dens syndrome)
图片尺寸1080x1199
谁知道pfirrmann 分级
图片尺寸710x436
磁共振可进行横断面,冠状面,矢状面以及任意面的直接采集成像,可以多
图片尺寸642x642![【讨论】游离齿状突? [病例帖]](https://i.ecywang.com/upload/1/img0.baidu.com/it/u=2113881813,193693912&fm=253&fmt=auto&app=138&f=JPEG?w=333&h=499)
【讨论】游离齿状突? [病例帖]
图片尺寸640x960
以dti为基础,使用鼠标在软件勾画mri解剖序列的感兴趣区后,自动计算
图片尺寸600x216