龃齿还是龋齿

新品好用儿童牙膏合集看这篇!各位宝妈618给自己 - 抖音
图片尺寸1440x1920
详细介绍一下龋齿的发展过程
图片尺寸1080x1243
不同的年龄段蛀牙的高发部位不同.
图片尺寸1919x1303
什么是龋齿?咱们该怎么办?
图片尺寸1080x810
如何辨别蛀牙
图片尺寸1214x689
蛀牙是怎么造成的呢?
图片尺寸640x777
邢台口腔修复专家:"六龄牙"为什么易龋坏?
图片尺寸640x1073
大健康#
图片尺寸690x1119
15秒了解蛀牙有哪些类型
图片尺寸1082x810
儿医小课堂 192 | 预防龋齿从小做起,守护宝贝靓丽笑颜
图片尺寸1080x670
龋齿.jpg
图片尺寸623x392
简单了解一下龋齿02
图片尺寸720x617
龋齿不痛,其实更应该早点补!_发展_阶段_牙齿
图片尺寸3000x2000
"静"享健康丨关注儿童口腔健康,不要忽视这个牙齿"小铠甲"哦
图片尺寸510x306
龋齿
图片尺寸1080x2160
【还在给孩子的牙齿00杀神经?】
图片尺寸690x690
这是不是龋齿
图片尺寸1080x1440
"孩子长了双排牙,我后悔莫及":最伤孩子牙齿的不是糖,竟然是
图片尺寸700x495
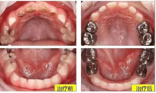
南京龋齿补牙哪个医院好—南京补蛀牙,推荐你到南京德牙联合口腔医院
图片尺寸1659x933
龋齿|牙齿|牙菌斑|牙结石|口腔疾病_网易订阅
图片尺寸660x323