龈上喷砂

啄木鸟 碳酸氢钠龈上喷砂粉300g
图片尺寸1080x1080
美齿口腔| 10步"睡眠洁牙"开启口腔护理新模式
图片尺寸600x396
牙齿喷砂是干嘛的洗牙要不要喷砂抛光
图片尺寸500x353
采用更细微颗粒的甘氨酸砂粉为洁牙者进行浅龈下喷砂,精细去******斑
图片尺寸600x383
超声波洁牙抛光喷砂有什么区别它们分别是干什么的太原紫台口腔讲解
图片尺寸1080x810
瑞士ems喷砂粉 碳酸氢钠喷砂粉/软质龈上喷砂粉 300g*4瓶/盒
图片尺寸800x800
喷砂洁牙
图片尺寸400x279
详解超声波洁牙/喷砂洁牙的区别
图片尺寸495x323
第四步:龈上喷砂结合口腔检查结果,为患者解释口腔存在的问题及潜在
图片尺寸660x371
黑科技喷砂洁牙还原一双洁白牙齿
图片尺寸1080x1440
(5)首先使用25μm甘氨酸及nozzle喷嘴进行龈下喷砂,peek(聚醚醚酮)
图片尺寸560x376
喷砂洁牙选择喷砂洁牙有什么好处
图片尺寸509x300
洗牙还只用超声设备吗你out了快尝试神奇的喷砂技术联合无痛超声技术
图片尺寸275x433
喷砂
图片尺寸1600x2700
瑞士ems龈上喷砂枪airflowhandy2
图片尺寸990x1230
01,原创气动喷砂技术直达龈下深层清洁
图片尺寸285x292
龈上喷砂动画演示_腾讯视频
图片尺寸1280x720
按照原理来说,洗牙对牙齿是有好处的,可降低牙周牙龈问题及龋齿问题.
图片尺寸640x517
牙齿什么情况下需要做喷砂洗牙?
图片尺寸599x362
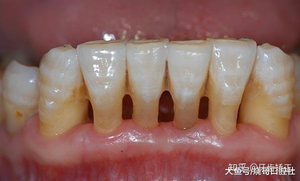
洗牙喷砂和不喷砂有区别?
图片尺寸600x400