龈上牙结石

这3招一定是去牙结石的最优解!不用花钱洗牙也能让牙石自动掉!
图片尺寸956x616
白矾刷牙如果大家在生活中出现了牙结石的情况,可以将适量的白矾碾
图片尺寸640x384
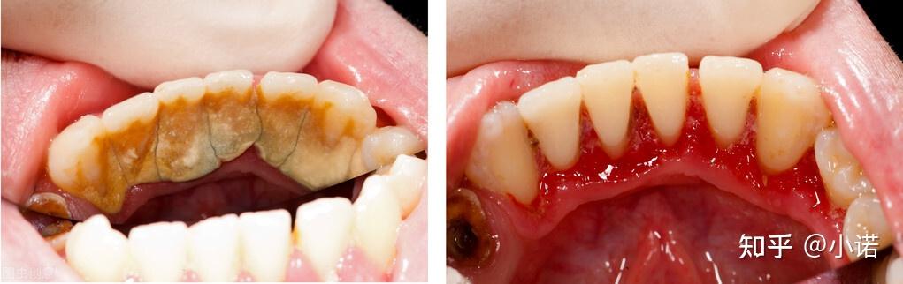
多年不洗牙,牙结石堆成钟乳石!是时候放下对洗牙的偏见了!
图片尺寸690x630
牙结石与牙龈炎有什么关系
图片尺寸500x330
6015八岁小狗满口牙结石伴有牙龈红肿发炎,有的 - 抖音
图片尺寸1080x1920
牙结石
图片尺寸3000x2000
牙结石到底是个什么东东? - 好大夫在线
图片尺寸671x598
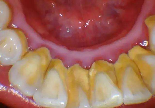
牙结石多沉积于牙颈部,若不除去的话,长期刺激牙龈组织,会引起牙龈
图片尺寸480x320
牙结石有两种:牙龈上结石和牙龈下结石.
图片尺寸1021x322
请问一下我这是牙结石吗?
图片尺寸377x504
洗牙后让牙结石占据的空间可能让牙龈再长回去充满吗? - 知乎
图片尺寸720x678
牙结石可以在家自己刷掉?工具方法都很重要,精准祛石不反复!
图片尺寸960x600
牙结石牙齿calculusdental
图片尺寸1023x553
牙结石
图片尺寸6000x4000
多年不洗牙,牙结石堆成钟乳石!是时候放下对洗牙的偏见了!
图片尺寸650x598
精益口腔医生表示,牙结石太多需要定期清洗牙齿,如果牙龈附着的丧失
图片尺寸950x551
牙结石主要有两种龈上牙结石,也叫可见牙结石,一般是覆盖在牙缝,牙背
图片尺寸640x446
牙结石要洗牙吗 看牙石走医保吗
图片尺寸400x400
过来人分享多年牙结石神奇去除法!反反复复的牙石一网打尽!
图片尺寸742x445
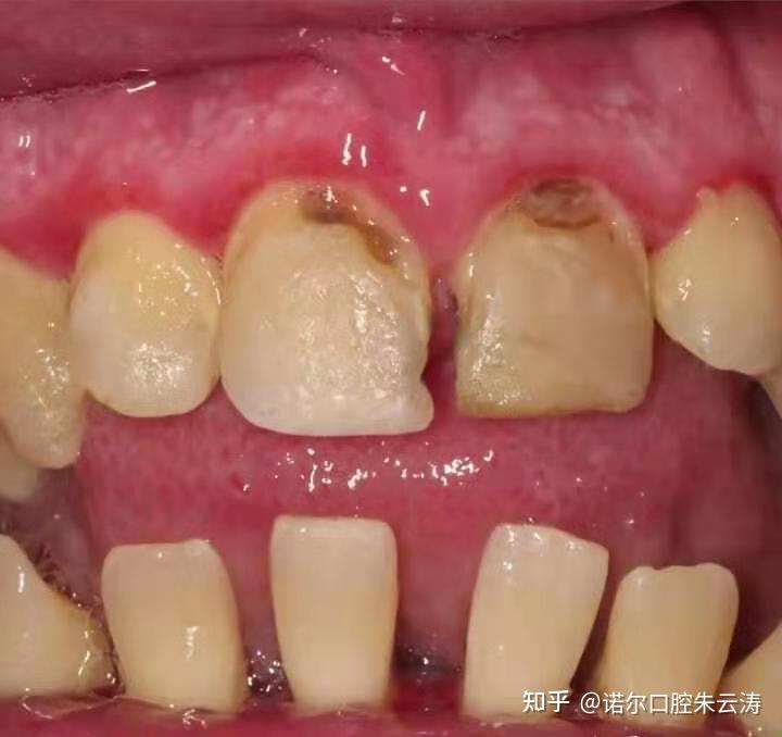
牙结石是一种异物体,堆积的牙结石会不断的刺激牙周组织,并且压迫牙龈
图片尺寸680x428