1号染色体

与cpvt相关的两个主要基因突变均位于1号染色体上,如下
图片尺寸645x439
同一家族的男子y染色体是不是都是同一条就像姓氏一样
图片尺寸641x690
p>1号染色体如同其他的体染色体,一般人类身体内的细胞中,会有两条1
图片尺寸889x614
但经过高通量全基因组测序发现,4号染色体和21号染色体发生了平衡易位
图片尺寸350x419
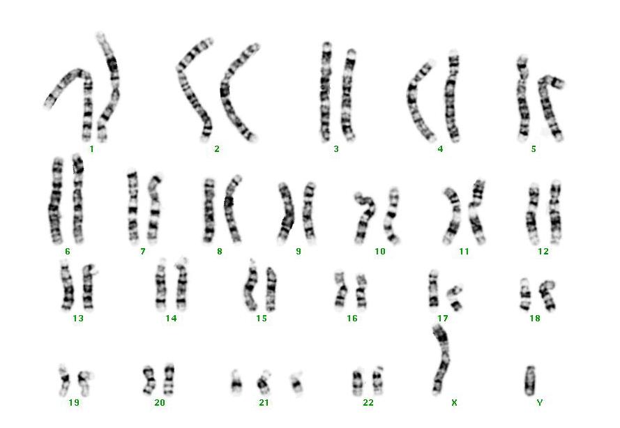
八年级生物人的性别决定 1-22号为常染色体 无序号的为性染色体
图片尺寸1080x810
二,a,b组染色体g显带示意图1号染色体口诀:老大黑了心;特点:1号染色体
图片尺寸575x826
人体内的第20号染色体是禁区,是潘多拉魔盒?会带来什么影响?
图片尺寸640x480
染色体畸变所导致的疾病
图片尺寸716x879
本来应该报数23的因为它与性别相关,对于女性个体,23号染色体大小一致
图片尺寸605x437
专家谈——胎儿多发畸形因为啥?_染色体
图片尺寸1080x810
22号染色体异常是否能要孩子这些遗传病不得不了解
图片尺寸600x440
15号染色体多态性,咨询过医生了,没有问题,主要查一下夫妻双方的
图片尺寸1080x1439
染色体核型分析的分辨率从320,400,550条带水平(左下图为1号染色体从
图片尺寸538x330
21号染色体多1条
图片尺寸473x409
染色体
图片尺寸300x237
男性染色体是xy女性是xx那染色体是yy的人会是什么样子呢
图片尺寸640x339
咱们人类有46条染色体,一半来自母亲,一半来自父亲,其中有44条染色体
图片尺寸1073x600
1号染色体三体嵌合体和单亲二倍体
图片尺寸474x331
推荐!8号染色体缺失"福如东海"-第1张图片-凯飞博客
图片尺寸720x827
进行配对,编号和分组,并进行形态分析的过程,该患者的1号染色体有部分
图片尺寸374x300