23对染色体

正常人体共23对染色体
图片尺寸384x308
23对染色体.png
图片尺寸457x333
人体一共有23对染色体
图片尺寸600x450
23对染色体
图片尺寸700x570
23对染色体
图片尺寸800x934
人体23对染色体
图片尺寸600x600
23对染色体(即46条染色体)都测的很清楚了. 见下图: 向左转 向右转
图片尺寸554x504
23对染色体
图片尺寸599x466
23对染色体对比图
图片尺寸547x331
23对染色体
图片尺寸600x668
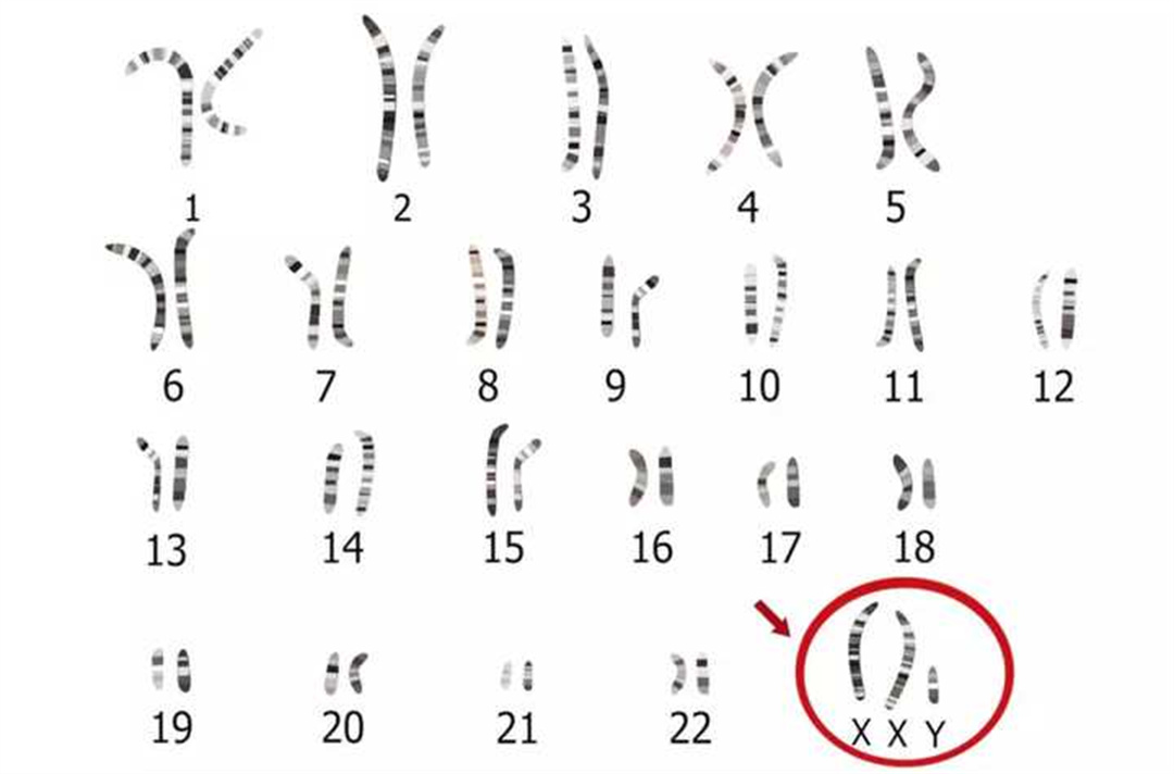
人类的23对染色体,最后一对为性染色体
图片尺寸554x504
图注:大部分人是23对染色体
图片尺寸1282x720
人体的每个细胞都有23对染色体吗?
图片尺寸616x407
其实主要原因还是和我们人体内的染色体有关.
图片尺寸1080x712
也就是说,女性体细胞中的染色体组成是22对 xx;男性体细胞中的染色
图片尺寸2478x1425
人一共有23对染色体
图片尺寸1025x673
图为:人类23对染色体
图片尺寸640x360
正常男性的染色体分组图 正常女性的染色体分组图
图片尺寸1080x810
4- 男性染色体组型 女性染色体组型
图片尺寸1080x810
流产后有必要做流产物染色体检查吗?
图片尺寸1072x796