50岁脑萎缩

脑萎缩的症状 脑萎缩的临床表现
图片尺寸640x670
脑萎缩并不是老年痴呆!做好哪些事,增强大脑活性,避免萎缩
图片尺寸640x961
喝酒喝出脑萎缩,不是危言耸听!
图片尺寸640x656
什么是脑萎缩
图片尺寸834x500
喝酒喝出脑萎缩,不是危言耸听!
图片尺寸640x654
正常大脑和萎缩的大脑,ct和mri检查图像
图片尺寸2400x1800
干货:如何准确鉴别脑积水与脑萎缩?
图片尺寸246x291
并发脑萎缩的老年正常压力脑积水步态不稳走路前冲不能控制不倒翁样
图片尺寸862x590
小脑萎缩的症状有什么呢
图片尺寸1440x959
脑萎缩帮忙看看
图片尺寸4208x2368
庄xx脑萎缩治疗前后映像对比图 - 山东潍坊吉缘堂抗衰老中医药研究所
图片尺寸660x395
脑萎缩帮忙看看
图片尺寸4208x2368
脑干周围脑池增宽,中脑黑质信号似减低,综合考虑橄榄体脑桥小脑萎缩
图片尺寸640x853
喝酒喝出脑萎缩,不是危言耸听!
图片尺寸640x655
小脑萎缩早期症状病人,家人如何帮助治疗? - 知乎
图片尺寸740x255
脑萎缩?
图片尺寸640x853![[病例讨论] 应该考虑脑萎缩吗](https://i.ecywang.com/upload/1/img0.baidu.com/it/u=2828301648,3909289282&fm=253&fmt=auto&app=138&f=JPEG?w=390&h=500)
[病例讨论] 应该考虑脑萎缩吗
图片尺寸1200x1537
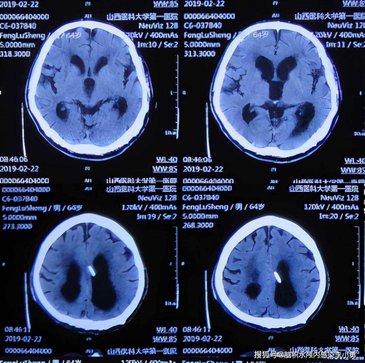
并发脑萎缩的老年正常压力脑积水步态不稳走路前冲不能控制
图片尺寸1164x1156
小脑萎缩和大脑萎缩的症状区分,莫要混淆
图片尺寸1000x750
小脑萎缩患者的福音核桃的营养价值与健康益处
图片尺寸660x519