5mm结节有多大

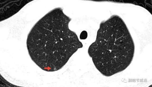
5mm肺磨玻璃结节需要立即手术吗?可以随访观察吗?
图片尺寸1559x1559
5mm肺磨玻璃结节需要立即手术吗?可以随访观察吗?
图片尺寸1559x1560
磨玻璃结节如何就诊磨玻璃结节的ct报告如何解答
图片尺寸640x420
体检发现3毫米结节医生建议观察结果半年竟然成癌
图片尺寸1106x888
rs8a 切除_肺部结节 - 好大夫在线
图片尺寸732x800
网传5mm以下的肺结节不用管?专家:信了你的邪!
图片尺寸600x399
的磨玻璃结节,实际上生长极其缓慢,从4-5mm长到8mm有可能需要2-3年
图片尺寸534x300
广州患者8mm和5mm肺结节的坎坷求医路 - 好大夫在线
图片尺寸1080x758
体检服务 | 磨玻璃结节多大是恶性?磨玻璃结节良性几率?
图片尺寸916x660
右上肺叶全切后左上肺又发现结节怎么办肺磨玻璃结节结节手术应该怎么
图片尺寸2736x2188
5mm的微小实性结节竟是恶性程度最高的肺癌
图片尺寸640x369
rs8a 切除_肺部结节 - 好大夫在线
图片尺寸778x800
肺磨玻璃结节的ct诊断
图片尺寸960x720
随访观察3年没有明显进展:病例2:磨玻璃结节5mm,非典型腺瘤样增生所以
图片尺寸779x430
王医生你能快点帮我手术吗我两边都有肺小结节我好怕原创
图片尺寸1840x1943
辅心堂中医甲状腺结节纵横比怎么看是什么意思
图片尺寸500x420
如中国肺癌防治联盟肺结节诊治分中心管理; 5mm:这类结节叫微小结节
图片尺寸1945x1280
刘懿博士说肺癌(二七五二)肺磨玻璃结节观察到现在,可以切了!
图片尺寸3456x2907
体检查出肺磨玻璃结节4mm咋办?
图片尺寸640x339
肺磨玻璃结节之十问十答
图片尺寸640x480