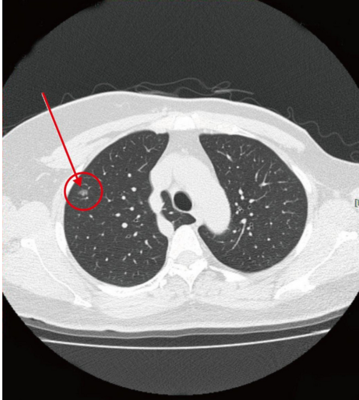
7mm磨玻璃结节

7mm磨玻璃结节,三个月后复查4mm,用对方法很重要!
图片尺寸1148x1280
5mm肺磨玻璃结节需要立即手术吗?可以随访观察吗?
图片尺寸1559x1559
病例1:首次发现混杂磨玻璃结节7mm,女性,无危险因素但是还有另外重要
图片尺寸1007x1024
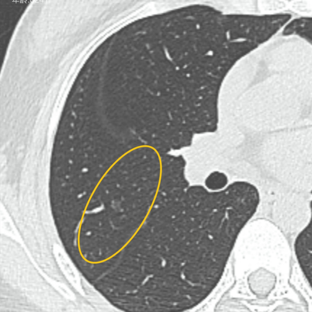
一个6mm的磨玻璃结节任其发展三年后怎么样了
图片尺寸1080x1440
肺结节磨玻璃密度结节
图片尺寸1080x810
有微乳头亚型和气腔播散1cm的混合磨玻璃肺结节也可以来者不善
图片尺寸1133x2453
磨玻璃结节良性的几率有多大7mm磨玻璃结节成了医生同行的癔症
图片尺寸1133x2453
携女儿闽至渝求解7mm磨玻璃结节,精准诊断定"良"性保十年平安
图片尺寸640x640
哪种磨玻璃结节最可怕需不需要做手术主要看这点
图片尺寸567x641
6mm高危混合磨玻璃结节不可怕楔形切除可保平安
图片尺寸1133x2454
这些这些磨玻璃结节,一般是根据它的密度和均匀程度来区分的,一般磨
图片尺寸1719x1280
哪种磨玻璃结节最可怕需不需要做手术主要看这点
图片尺寸1080x599
单孔胸腔镜治疗多发肺磨玻璃结节
图片尺寸700x492
七毫米很淡的磨玻璃结节7毫米的磨玻璃结节
图片尺寸1600x1367
多发磨玻璃结节
图片尺寸1080x810
肺磨玻璃结节之十问十答
图片尺寸640x480
如何预防肺部磨玻璃结节?
图片尺寸4032x3024
中药消散7mm多磨玻璃肺结节,避免手术,如获新生
图片尺寸640x360
刘懿博士说肺癌二〇六七最大7mm肺磨玻璃结节抗炎后不用切了
图片尺寸2748x3664
肺磨玻璃结节典型病例分享患者需要上传什么样的照片
图片尺寸4032x3024