B型超声图像

遇到物体又被反射回来,经过处理,由于声抗阻值不同形成不同灰度的图像
图片尺寸966x754
中华眼底病杂志 2020, 8 文章全文图选项 下载全尺寸图像 下载幻灯
图片尺寸1634x591
黄子佼老婆孟耿如晒b超照宣布怀孕
图片尺寸550x398
b型超声波检查,将弱超声波照射到身体上,把身体组织的反射波进行图像
图片尺寸1200x951
b超 #医学影像 #医学科普 #超声影像 来波图 膀胱 - 抖音
图片尺寸1172x846
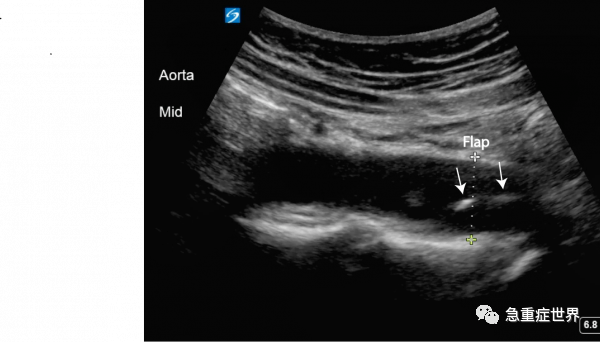
超声频道诊断b型主动脉夹层有图片有视频
图片尺寸600x342
几个病例
图片尺寸1080x736
问医生小孩怎么样,医生来句小孩真漂亮是不是暗示女孩啊
图片尺寸222x480![[试管婴儿]心急还没到一超日就在盆友店里b](https://i.ecywang.com/upload/1/img0.baidu.com/it/u=628374357,2870894757&fm=253&fmt=auto&app=138&f=JPEG?w=500&h=667)
[试管婴儿]心急还没到一超日就在盆友店里b
图片尺寸2249x3000
如何根据超声波报告知道胎儿的性别的?
图片尺寸800x616
b超单上图像有三条线代表怀女宝可能性大
图片尺寸600x337
b超单子判断男女, 据说看到这几个字, 百分之九十是男宝!
图片尺寸640x434
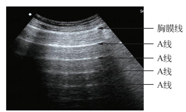
(1)a线: b型超声下可见胸膜线后方多条等距的回声强度逐渐减低的与
图片尺寸640x388
anesthesiology:围术期肺部超声在小儿心脏手术中的应用
图片尺寸1000x1337
071b超声图像
图片尺寸700x525
怀孕40天照的b超图.能看见一个圆圈.黑影是腹部.上面头.下面尾巴是嘛?
图片尺寸768x1024
婆婆和妈妈2杜淳陪老婆产检看宝宝b超照父爱十足
图片尺寸950x533
每日技能 | 影像学超声之胆囊结石_诊断_丁香医_答案
图片尺寸1080x820
二维b超,哪位懂看是男是女?
图片尺寸360x480
搜狐娱乐讯6月5日,胡杏儿在微博晒出一张怀孕的超声波电图,发文称:"我
图片尺寸690x690