DSA图片

湖医附一医院再添新利器大湘西地区首台双源dsa正式投入临床应用
图片尺寸600x400
dsa正位显示大脑中动脉,大脑前动脉血流良好
图片尺寸1200x1600![[经验交流]后交通动脉瘤一些dsa图片](https://i.ecywang.com/upload/1/img2.baidu.com/it/u=3663876218,1160134801&fm=253&fmt=auto&app=138&f=JPEG?w=667&h=500)
[经验交流]后交通动脉瘤一些dsa图片
图片尺寸2048x1536
dsa数字减影血管造影系统的结构和配置
图片尺寸640x480
数字化平板血管造影系统dsa
图片尺寸831x552
女患,47岁,诊断脑梗塞,入院dsa提示烟雾病,现出院2周,既往8年前脑梗塞
图片尺寸720x1280
最新一代dsa落户县人民医院
图片尺寸925x454![[经验交流]后交通动脉瘤一些dsa图片](https://i.ecywang.com/upload/1/img1.baidu.com/it/u=636370366,2400140372&fm=253&fmt=auto&app=138&f=JPEG?w=667&h=500)
[经验交流]后交通动脉瘤一些dsa图片
图片尺寸2048x1536
什么是数字减影血管造影dsa
图片尺寸550x600
dsa正位造影显示右侧颈内动脉急性闭塞.
图片尺寸1200x1600
12床都散希力甫汗 左侧颈内动脉动脉瘤 复查dsa(副本)
图片尺寸2941x2000
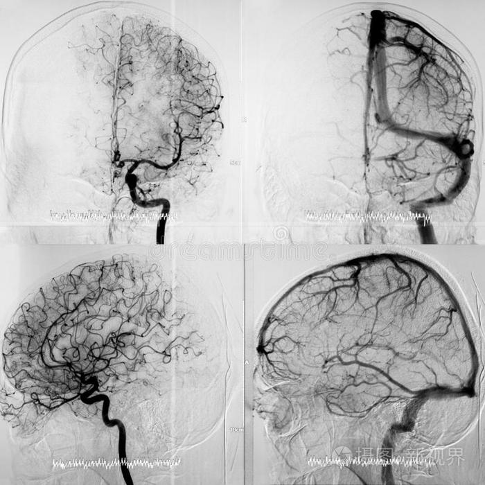
头颅循环的dsa两个阶段
图片尺寸700x700![[经验交流]后交通动脉瘤一些dsa图片](https://i.ecywang.com/upload/1/img0.baidu.com/it/u=2605810474,4071261840&fm=253&fmt=auto&app=138&f=JPEG?w=667&h=500)
[经验交流]后交通动脉瘤一些dsa图片
图片尺寸2048x1536
谢韡:如何阅读脑血管dsa片
图片尺寸640x480
极光平板dsa的showtime
图片尺寸600x1204
飞利浦fd-20数字血管造影系统(dsa)
图片尺寸800x533
2021年dsa销售排行榜来了
图片尺寸465x310
德清首台dsa开机
图片尺寸550x309
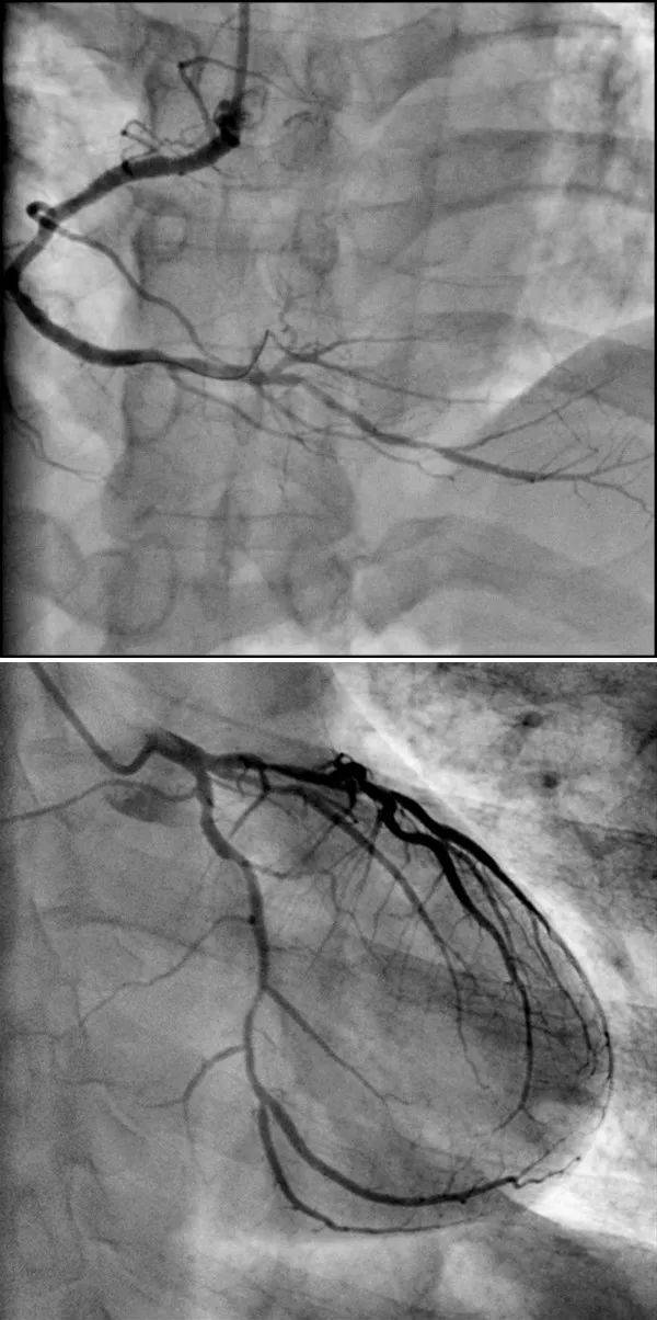
数字减影血管造影(dsa)
图片尺寸1080x810
右侧颈内动脉dsa(正常)
图片尺寸610x335