a型超声图像

首创全程腔内修复治疗a型主动脉夹层远端破口
图片尺寸1080x446
9岁孩童竟患上冠心病!医生说明原因,父母后悔不已
图片尺寸1206x1500
眼科超声检查法
图片尺寸449x577
超声基础培训
图片尺寸1080x810
回顾:45 岁女子胸痛气短,多次检查无果,专家一语道破真相
图片尺寸640x480
今日床边新生儿肺部超声a线典型图
图片尺寸1280x961
男性也需要做乳腺超声检查吗?
图片尺寸2048x1365
宝宝超声照
图片尺寸1263x4096
宝宝超声照
图片尺寸865x935
眼科a超的基本原理和临床应用
图片尺寸1080x810
不同分子分型乳腺癌的二维超声图 1a为luminal a型乳腺癌的二维超声图
图片尺寸3150x2285
高血压,室壁不对称性增厚,该如何选择!#超声影像 #医学科普
图片尺寸1920x1440
正常体检超声发现
图片尺寸1440x2656
超声学习 每天学习一点点,#心脏彩超
图片尺寸1440x1920
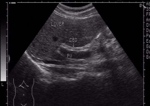
正常肝脏的超声图像及各项测量值概述
图片尺寸627x441
图1 术中tee检查10:55超声引导下右颈内静脉穿刺并置管
图片尺寸640x463
超声分为哪几种模式?
图片尺寸615x393
主动脉夹层.看才哥视频说升主动脉66mm,a型夹层病例有感
图片尺寸1440x2034
超声心动图是指应用超声短波测距原理脉冲超声波透过胸壁,软组织
图片尺寸1280x960
肝右叶束状偏强回声,考虑什么?
图片尺寸607x470