activator矫治器

正畸活动矫治器图谱
图片尺寸1080x810
义齿矫治器
图片尺寸3000x2250
1. 早期矫治大家都晓得,箍牙就是戴牙套噻.
图片尺寸1080x606
儿童反咬合的早期矫治
图片尺寸640x427
herbst 咬颌前移器(导下颌向前) herbst矫治器,是一种固定的功能性
图片尺寸2152x1280
活动矫治器合集
图片尺寸960x1280
哪款矫治器适合你快来选一选吧
图片尺寸692x444
frankel 2功能矫治器03.jpg
图片尺寸500x375
activator矫治器适合哪种错颌畸形矫正6岁儿童深覆合能用吗
图片尺寸564x451
fr-3功能矫治器隐形矫治器以上矫正体系在口腔正畸科均有成熟的运用
图片尺寸626x342
功能矫治器
图片尺寸960x592
正畸活动矫治器图谱
图片尺寸1080x810
正畸活动矫治器图谱
图片尺寸1080x810
固定矫治:这种矫治器是不能由患者摘戴的,它也是目前被运用的最购泛
图片尺寸450x329
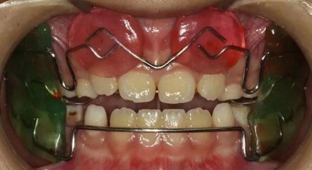
肌激动器 (activator)
图片尺寸1236x970
牙齿矫正器成人儿童隐形透明牙套龅牙缝地包天纠正神器夜间保持器
图片尺寸800x800
正畸活动矫治器图谱
图片尺寸1080x810
法兰克功能矫治器Ⅱ型
图片尺寸696x480![【经验交流】一例fr2 [病例帖]](https://i.ecywang.com/upload/1/img2.baidu.com/it/u=3686438418,1195596469&fm=253&fmt=auto&app=138&f=JPEG?w=640&h=426)
【经验交流】一例fr2 [病例帖]
图片尺寸640x426
正畸活动矫治器
图片尺寸1280x720