adenoma

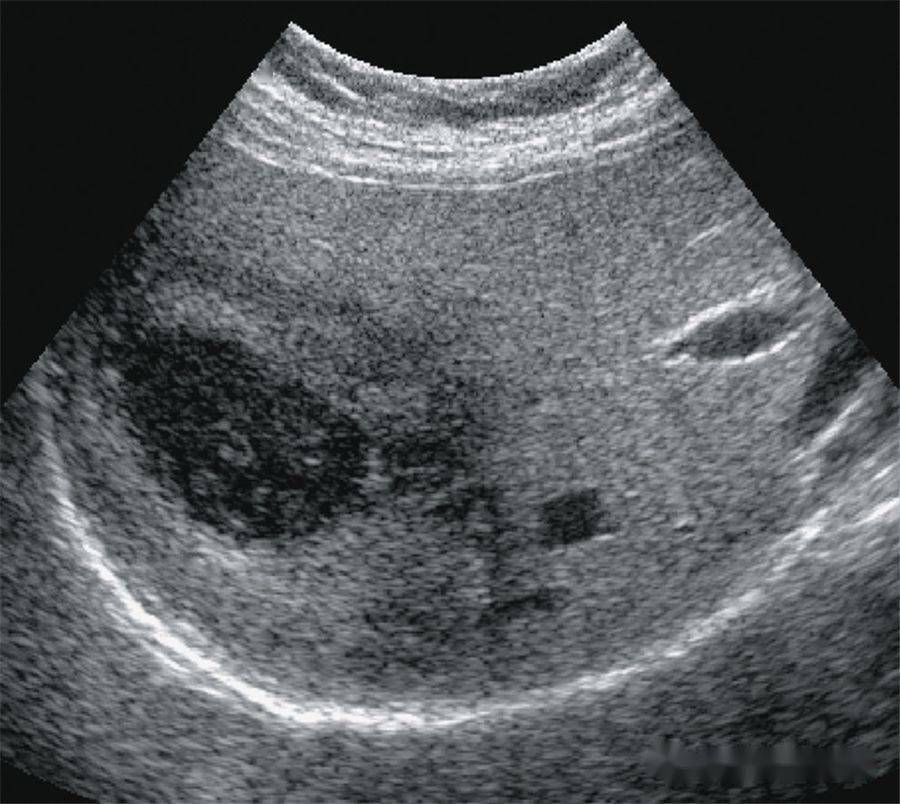
【超声随响】第05期 肝细胞腺瘤 hepatic adenoma
图片尺寸900x804
【超声随响】第05期 肝细胞腺瘤 hepatic adenoma
图片尺寸900x714
【超声随响】第05期 肝细胞腺瘤 hepatic adenoma
图片尺寸900x804
prefix and suffix aden/o meaning terminology adenitis adenoma
图片尺寸1080x810
横结肠息肉adenoma讨论病例ibd病理交流群病例43
图片尺寸720x1280
预订colorectal adenoma - resection techniques and su
图片尺寸354x499
中山医科大学病理学课件第九章主要良性胃肠道肿瘤.ppt
图片尺寸1152x864
mixed adenoma-serrated polyp(masp) of colon 同义词(或曾用名)
图片尺寸2592x1944
multihormonal pituitary adenoma concomitant with pit-1 and tpit
图片尺寸472x578
【超声随响】第05期 肝细胞腺瘤 hepatic adenoma
图片尺寸900x675
无法控制血压(>140/90 mm h醛固酮瘤(aldosterone-producing adenoma)
图片尺寸1017x551
预订 the pituitary adenoma
图片尺寸350x500
adenocarcinoma of ascending colon arising in villous adenoma
图片尺寸500x339
pancreatic islet cell tumor)又称胰岛细胞腺瘤(islet cell adenoma)
图片尺寸499x322
a case of pituitary adenoma operated via endoscope
图片尺寸843x1498
diagnosis and treatment of pituitary adenomasa review.
图片尺寸464x381
巨大垂体腺瘤 (giant pituitary adenoma,gpa)通常指的是直径大于4cm
图片尺寸640x464
nature早期癌症免疫逃逸的帮凶sox17
图片尺寸660x460
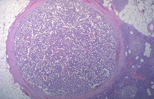
here is small hepatic adenoma, an uncommon benign neoplasm
图片尺寸504x331
【预订】adenoma - a medical dictionary, bibliography, and
图片尺寸500x500