apoptotic

file photo: colorized scanning electron micrograph of apoptotic
图片尺寸4096x3521
mechanisms implicated in the transduction of proapoptotic and
图片尺寸1005x1280
hesperetin,apoptotic and anti-inflammatory agent (ab142887)
图片尺寸1488x761
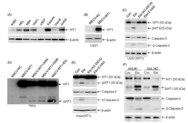
温州医科大学附二医院发现白血病人中wt1基因的调控新机制
图片尺寸640x418
that in old age the mitochondrial caspase-independent apoptotic
图片尺寸902x331
bortezomib increased the apoptotic-related proteins in u87 and
图片尺寸761x539
different apoptotic pathways are modulated by pedf. 1.
图片尺寸473x610
【预订】apoptotic pathways as targets for novel
图片尺寸350x500
role of apoptotic, autophagic and senescence pathways in minor
图片尺寸1181x1784
tipe attenuates the apoptotic effect of radiation and cisplatin
图片尺寸2031x1881
细胞凋亡线粒体途径的调控 regulation of mittochondrial apoptotic
图片尺寸680x510
detection of apoptotic astrocytes using immunocytochemistry.
图片尺寸1200x2011
paraptosis (the cytoplasmic vacuoles), apoptosis (the apoptotic
图片尺寸709x482
synopsis of cell proliferation, metabolic status, and cell death
图片尺寸539x546
the extrinsic and intrinsic apoptotic pathways拮抗和促进细胞凋亡
图片尺寸540x554
dual-targeting pro-apoptotic peptide for programmed cancer cell
图片尺寸685x720
农林1区福建农林大学揭示虫草素通过调控hippo信号通路
图片尺寸660x726
scanning electron micrograph of an apoptotic hela cancer cell
图片尺寸3200x2424
cinnamic acid induces apoptotic cell death and cytoskeleton
图片尺寸785x994
brain damage through an anti-inflammatory and anti-apoptotic
图片尺寸1675x2262