blumensaat线怎么画

以及其在正中矢状面上与blumensaat线的相对位置股骨隧道的开口或植骨
图片尺寸437x496
(1)blumensaat 法:患者膝关节屈曲30°时,髁间窝顶部在侧位像所显示的
图片尺寸500x678
line)来指示入钉点,入钉点在blumensaat线的末端前方;正位像应该位于
图片尺寸456x484
5种髓内钉应用原则及手术技术100干货
图片尺寸774x552
blumensaats 线尖端--正位-股骨髁间窝中间注意经髌韧带通过保护套筒
图片尺寸381x333
2为高位髌 (1)blumensaat法:患者膝关节屈曲30°时,髁间窝顶部在侧
图片尺寸377x512
超详细讲解髌骨脱位的诊治全过程轻松搞定临床难题
图片尺寸450x324
这是一个关于髌骨不稳定ppt素材课件,这个ppt包含了髌股关节x线检查
图片尺寸1600x646
毋伤pcl起点--侧位-blumensaats 线尖端--正位-股骨髁间窝中间注意经
图片尺寸699x352
股骨远端骨折手术技巧——固定方式决定手术成败!
图片尺寸518x197
blumensaat法:髁间窝顶部ludloff三角底边向前做延长线正常髌骨下极
图片尺寸920x1302
(d1) and posterior (d2) articular surface at blumensaats line
图片尺寸560x404
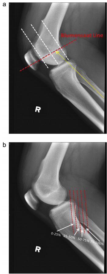
图 1 骨隧道位置的x线评估a) 显示正位胫骨隧道相对于胫骨轴线的角度
图片尺寸242x146
(a) the fibula points to the posterior half of the blumensaat
图片尺寸351x894
十字韧带损伤
图片尺寸433x360
前交叉韧带初次撕裂的手术治疗
图片尺寸497x817
line)在侧位图像上可清晰显示,以blumensaat线与股骨外侧髁前后缘交点
图片尺寸400x198
成人前交叉韧带初次撕裂的手术治疗
图片尺寸500x790
a 线);2分别通过 blumensaat 线的后角(图中 b 线)和股骨后髁轮
图片尺寸1074x742
成人前交叉韧带初次撕裂的手术治疗
图片尺寸640x278