bodipy脂滴染色

bodipy染色
图片尺寸600x450
比较培养脂肪细胞用多聚甲醛固定后染色的情况(左图)和活细胞染色后用
图片尺寸1146x611
polypyridyl substituted bodipy derivatives; water switchable
图片尺寸813x550
polypyridyl substituted bodipy derivatives; water switchable
图片尺寸2032x1375
mtor direct interactions with rheb-gtpase and rapt
图片尺寸785x495
van-fl: bodipy tm vancomycin-fl cell wall staining; bf: bright
图片尺寸2416x1555
5,icg,荧光素fitc,bodipy系列染料香豆素及双光子香豆素系列染料,近
图片尺寸600x444
之后,科学家又用了另一种染色剂,氟硼荧(bodipy),对海葵进行染色.
图片尺寸640x950
用 bodipy 493/503(绿色)标记脂肪滴.蓝色伪彩
图片尺寸520x350
bodipy493503stainingofneutrallipiddropletsformicroscopyand
图片尺寸2521x1908
肠道微生物代谢物也能促癌 - medchemexpress_死亡_细胞_发展
图片尺寸1080x1622
(c)各种浓度的cp纳米点处理u87mg细胞4 h后, c11-bodipy染色的clsm
图片尺寸600x760
由图5可知,bodipy 493/503染色结果表明,imp组细胞内脂质蓄积量明显
图片尺寸344x398
the red-nir emission properties of these new aza-bodipys are
图片尺寸980x1468
肠道微生物代谢物也能促癌 - medchemexpress_死亡_细胞_发展
图片尺寸1080x1622
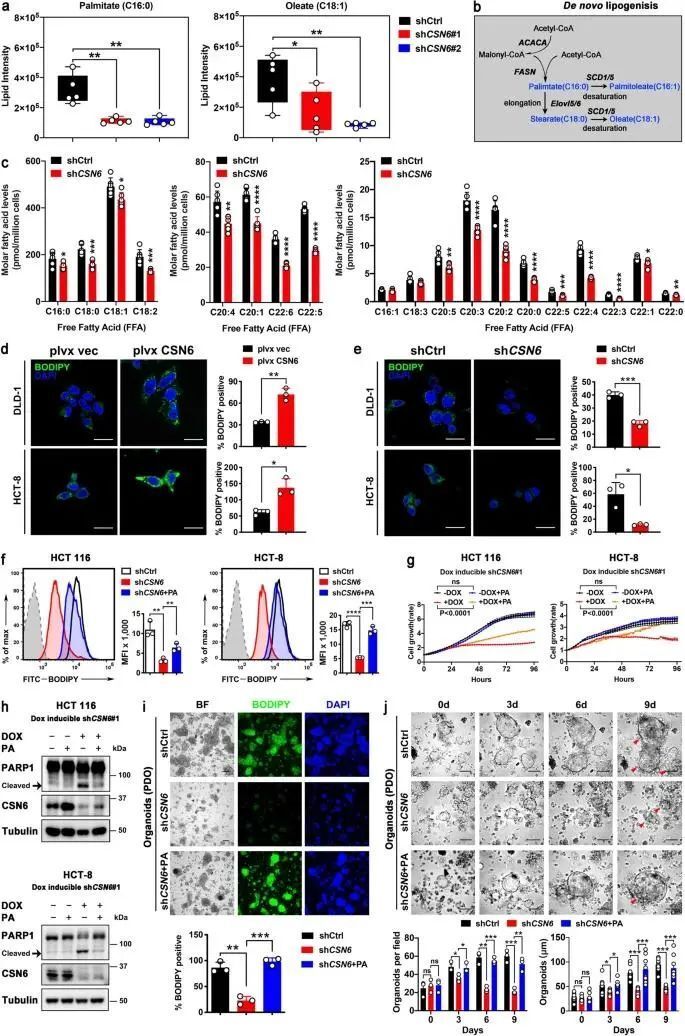
流式细胞术研究还表明,与对照组相比,csn6 kd降低了bodipy染色
图片尺寸685x1036
cu2 锚定碳纳米光催化剂水分解促进氢疗法和铜死亡!
图片尺寸660x926
肠道微生物代谢物也能促癌 - medchemexpress_死亡_细胞_发展
图片尺寸1080x1138
图六,体内考察bodipy标记的psn修饰胶束在tnbc原发肿瘤和肺转移小鼠
图片尺寸600x607
附近逐渐长大让通路往贮存走后,作者开始观察pa和脂滴(bodipy染成绿色
图片尺寸639x533