cd36

赵同金课题组揭示cd36的动态棕榈酰化促进脂肪酸吸收的机制
图片尺寸1496x1496
减肥或许可增加机体免疫力脂代谢分子cd36调节肿瘤内cd8t细胞
图片尺寸625x611
出一个99新的雅俊cd36,cd机器acram-cd-36
图片尺寸983x648
雅俊arcamcd36cd机丽声av店
图片尺寸870x577
natimmunol阻断cd36为癌症免疫治疗加油
图片尺寸653x506
赵同金课题组揭示cd36的动态棕榈酰化促进脂肪酸吸收的机制
图片尺寸791x790
b类清道夫受体cd36与动脉粥样硬化研究进展
图片尺寸440x305
cd36, a scavenger receptor implicated in atherosclerosis
图片尺寸678x468
anti-cd36 antibody
图片尺寸1280x960
cd36 polyclonal antibody
图片尺寸228x350
anti-cd36 antibody
图片尺寸1280x960
铁死亡02cd36调控cd8t细胞的机制
图片尺寸1728x1080
anti-cd36 antibody
图片尺寸1195x1000![cd36 antibody [sm01]](https://i.ecywang.com/upload/1/img1.baidu.com/it/u=2299378788,4290700633&fm=253&fmt=auto&app=138&f=JPEG?w=600&h=450)
cd36 antibody [sm01]
图片尺寸600x450
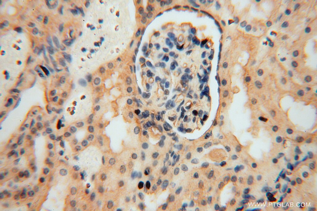
cd36 antibody 11378-1-ap pview
图片尺寸1024x681
靶向cd36:肿瘤免疫疗法的新策略
图片尺寸600x301![cd36 antibody [sm] (azide free)](https://i.ecywang.com/upload/1/img1.baidu.com/it/u=3333844664,1079133283&fm=253&fmt=auto&app=138&f=JPEG?w=341&h=256)
cd36 antibody [sm] (azide free)
图片尺寸341x256
图1. cd36介导的caveolar内吞将脂肪酸转运到细胞
图片尺寸600x385
reduced cd36-dependent tissue sequestration of
图片尺寸847x1280
ars:陈压西/赵蕾团队揭示抑制脂肪酸转位酶 (fat/cd36)棕榈酰化增强肝
图片尺寸1028x482