celiacartery

and team boston run the boston half marathon 10/12/14 - celiac
图片尺寸1500x2000
commonly arises from the common hepatic artery of the celiac
图片尺寸700x745
按:太阳神经丛,拉丁学名是celiac plexus,一种位于胃部后面及大动脉
图片尺寸550x567
腹腔干celiac trunk是腹主动脉发出的第一个无对(奇数)支,在膈肌稍
图片尺寸836x552
main divisions of celiac artery
图片尺寸500x319
腹腔干celiac trunk是腹主动脉发出的第一个无对(奇数)支,在膈肌稍
图片尺寸1080x810
celiacwc的自频道-优酷视频
图片尺寸310x310
tell me what to eat if i have celiac
图片尺寸229x360
道的动脉是从腹主动脉前面发出的三条不成对动脉: ——腹腔干(celiac
图片尺寸720x439
most of my female relatives suffer from celiac di
图片尺寸321x395
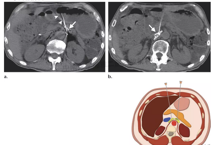
腹腔神经节(丛)消融术(celiac plexus neurolysis cpn)腹腔神经节(丛)
图片尺寸695x471
降主动脉的6个主要分支:腹腔干(celiac trunk),肠系膜上动脉(superior
图片尺寸550x500
world journal of gastroenterologystudy of celiac artery
图片尺寸277x392
端孔导管:cobra (c1, c2, c3), rosch celiac (rci, rc2, rc3)
图片尺寸530x613
zone ii is from the celiac artery to the lowest renal arter..
图片尺寸2000x2951
celiac trunk and its branches (posterior aspect of stomach)图143
图片尺寸784x435
小肠系膜(sma和smv)(一)胃内探查sma发至腹主动脉,位于腹腔干(celiac
图片尺寸800x800
腹腔干celiac trunk是腹主动脉发出的第一个无对(奇数)支,在膈肌稍
图片尺寸1080x810
以上案例的罪魁祸首就是近些年不可小觑的全球性疾病乳糜泻(celiac
图片尺寸1080x856
腹腔干celiac trunk是腹主动脉发出的第一个无对(奇数)支,在膈肌稍
图片尺寸917x810