ct阅片入门

求阅一颈部ct片
图片尺寸2656x4000
胸部ct阅片ppt
图片尺寸1080x810
执医技能—ct阅片速成,让你秒懂!
图片尺寸640x640
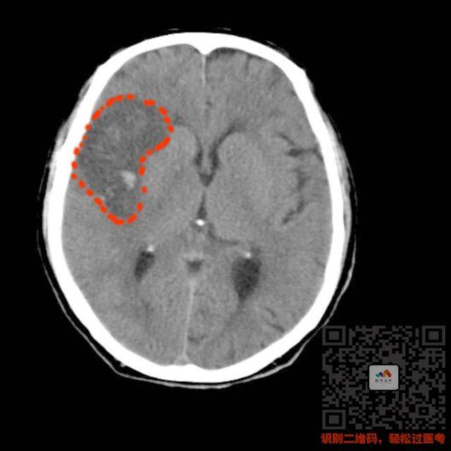
急诊头颅ct阅片指引
图片尺寸1080x608
急诊头颅ct阅片指引
图片尺寸1080x608
急诊头颅ct阅片指引
图片尺寸1080x608
胸部ct阅片
图片尺寸2976x3968
超实用急诊头颅ct3b阅片法
图片尺寸1080x810
超实用急诊头颅ct3b阅片法
图片尺寸1080x810
超实用急诊头颅ct3b阅片法
图片尺寸1080x810
超实用急诊头颅ct3b阅片法
图片尺寸1080x810
急诊头颅ct阅片指引
图片尺寸1080x608
ct入门结合解剖谈正常胸部ct读片
图片尺寸960x720
胸部ct阅片请各位老师发表意见
图片尺寸2560x1920
急诊头颅ct阅片指引
图片尺寸1080x608
正常胸片胸部ct阅读
图片尺寸1080x810
急诊头颅ct阅片指引
图片尺寸1080x608
如何用手机拍摄高清肺结节ct照片?
图片尺寸720x521
急诊头颅ct阅片指引
图片尺寸1080x608
【请教】女,42岁,高血压2年,腹部ct阅片
图片尺寸640x799