eradicated

eradicate是什么意思
图片尺寸363x139
handicapped是什么意思
图片尺寸183x275
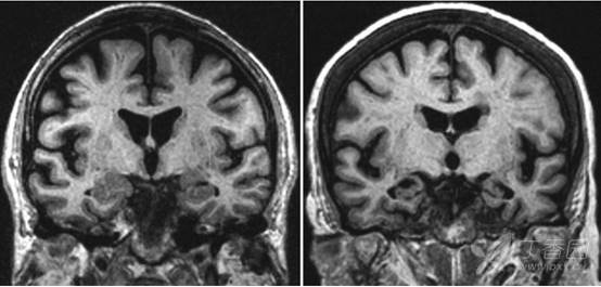
神经影像:出现这些征象,警惕痴呆的发生
图片尺寸491x332
拔除;铲除;扑灭形态变化第三人称单数eradicates;过去式eradicated
图片尺寸319x158
adem--案例
图片尺寸618x496
malaria will be eradicated. | flickr – 相片分享!
图片尺寸640x425
痴呆神经影像改变一 皮质萎缩之 阿尔茨海默病ad
图片尺寸554x265
poverty can be eradicated | flickr – 相片分享!
图片尺寸500x375
have the vaccines really eradicated diseases ? (survey)
图片尺寸600x501
瑞英青年疑难病例分析第二季 第二集 顽固的癫痫,"坚硬"的大脑
图片尺寸820x939
精品推荐医学影像诊断ppt课件图文详解完整版-神经系统
图片尺寸1080x810
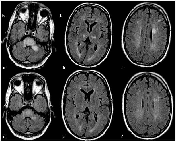
【每日一例 | 444期】多发性硬化一例
图片尺寸512x512![vs.expunged song-eradicated [dnb:friedfishedition]](https://i.ecywang.com/upload/1/img0.baidu.com/it/u=3273592595,939140230&fm=253&fmt=auto&app=120&f=JPEG?w=800&h=500)
vs.expunged song-eradicated [dnb:friedfishedition]
图片尺寸960x600
according to oxfam, world poverty could have been eradicated in
图片尺寸830x460
【病例】胶样囊肿致梗阻性脑积水及下行性小脑幕疝
图片尺寸960x720
inc世界知名小儿神外rutka教授论述
图片尺寸445x382
急性呼吸窘迫综合征ards的影像学表现
图片尺寸1440x810
eradicated
图片尺寸526x526
"we go about our lives thinking we have eradicated slavery, but
图片尺寸1808x2156
practice of ghoonghat must be eradicated: rajasthan cm ashok
图片尺寸530x600