flair呈高信号

患儿咳嗽低热进展为坏死性脑病这些预警指征不可不知
图片尺寸262x342
flair血管高信号征的定义影像表现原理及临床应用
图片尺寸1080x654
flair高信号血管征在dwi不同梗死分型中与临床预后的关系研究
图片尺寸1080x1374
flair高信号
图片尺寸2350x1688
脑沟t2-flair高信号
图片尺寸1080x673
核磁共振t2flair呈高信号是什么意思
图片尺寸957x747
t2flair扫描中的勾边影是什么
图片尺寸1000x996
t2flair呈稍高信号(与白质相比)
图片尺寸1200x2133
t1wit2wi及flair信号分析与颅内病变图像判读
图片尺寸1080x734
这3例小脑flair高信号,竟是这种常见药惹得祸
图片尺寸759x800
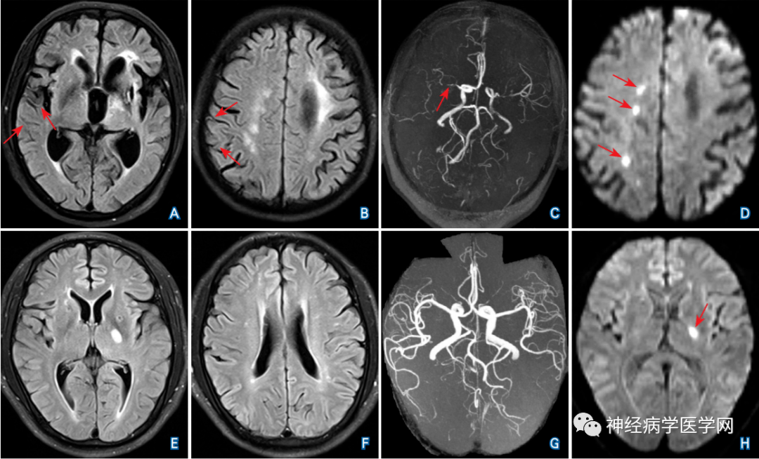
ajnr:mca闭塞远端flair血管高信号征是好现象还是坏现象?
图片尺寸763x1298
t2 wi及flair呈高信号.dwi呈强信号.
图片尺寸3886x2000
flair序列大脑中动脉高信号征在急性期脑梗死诊断中的价值_杨浩 (1)
图片尺寸590x590
冠状位t2flair呈高信号影(红箭头). t1wi c
图片尺寸1035x541
图-1 nmosd头颅mri表现轴位t60flair及t60w1分别显示第三脑室旁及
图片尺寸455x262
患儿咳嗽低热进展为坏死性脑病这些预警指征不可不知
图片尺寸301x388
t2 flair序列未见责任病灶确切显影,呈dwi-flair不匹配.
图片尺寸1668x1251
头颅mri flair 见下
图片尺寸1627x1779
人工智能压缩感知技术在颅脑3dt2flair序列及脑白质高信号应用
图片尺寸1080x1879
dwi双侧丘脑高信号adc双侧丘脑低信号t2 flair可怜双侧丘脑稍高信号
图片尺寸2357x2647