flair成像

3.0t做t2-flair序列一般都是结合了脂肪抑制序列的
图片尺寸401x377
脑肿瘤中flair信号特点
图片尺寸960x960
0t 常规t1 flair 图像 常规propeller t2图像
图片尺寸1080x810
图4. 脑桥水平轴位t2-flair mr成像
图片尺寸570x580
头颅 mri 显示:双侧海马 t2-flair 信号增高
图片尺寸640x644
加扫抑脂t1wi 序列以明确是否为脂肪病类变,见上图t1wi flair序列
图片尺寸792x478
图2.轴位基底节水平t2-flair mr成像
图片尺寸570x580
头颅mri入门系列之认识flair序列-3
图片尺寸960x919
学证实为 ii 型 fcd 患者的 3 t 轴位三维液体衰减反转恢复(flair)像
图片尺寸2756x1587
↖ ↖ flair水抑制 t2wi t2wi水抑制可使自由水变成低信号,结合水仍为
图片尺寸1080x810
flair高信号血管征在dwi不同梗死分型中与临床预后的关系研究
图片尺寸1080x1374
t1wit2wi及flair信号分析与颅内病变图像判读
图片尺寸1080x734
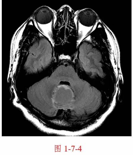
图 1-7-4 颅脑轴位 flair 图, 脑脊液信号被抑制,肿瘤周围水肿仍为高
图片尺寸448x521
头颅 flair
图片尺寸640x802
头颅mri中不同序列dwi和adc的区别
图片尺寸1080x810
ajnr:mca闭塞远端flair血管高信号征是好现象还是坏现象?
图片尺寸763x1298
a:t2 flair轴位显示右侧颞叶病灶磁共振信号略高;b:pet视觉显像右侧
图片尺寸700x410
stroke头颅flair阴性可能比发病到入院时间更准确地预测临床结果
图片尺寸329x642
t2 d.flair e.t2* 这一期也简单,基本上都是黑的
图片尺寸1073x953
flair sequences
图片尺寸1920x1080