he染色结果图片分析

石蜡切片he染色实验结果病理分析检查报告上海郑核
图片尺寸630x647
he.jpg
图片尺寸4032x3024
中科院1区-扬州大学:黄芩苷和n-乙酰半胱氨酸通过tf
图片尺寸660x670
请问此大鼠肺脏he病理情况-丁香实验
图片尺寸2048x1536
he染色结果-丁香实验
图片尺寸4000x3000
he染色结果-丁香实验
图片尺寸4000x3000
fig 4 he染色结肠组织及结肠,小肠中的炎性细胞因子rna.
图片尺寸1643x1015
肝脏he染色-肝细胞病变不同形态分辨②坏死 直接看图
图片尺寸960x1280
"贵州茅台酒能改善酒精性肝纤维化"的文章被撤原因!
图片尺寸1080x461
求助结肠回肠he染色
图片尺寸1186x850
求助求助想麻烦大佬们帮忙看看糖尿病大鼠心肌he染色病理变化怎么分析
图片尺寸2752x2208
1野生型小鼠和esdn-/-小鼠不同时间血管内膜增生情况比较 he染色结果
图片尺寸1772x750
小鼠肾冰冻切片he染色
图片尺寸3024x4032
小鼠肾冰冻切片he染色
图片尺寸3024x4032
求助!肝脏组织he染色结果分析
图片尺寸2560x1920
《食品科学》:新疆医科大学韩加教授等:小麦麸皮多酚
图片尺寸660x623
患者的病理学检查结果(a,b)he 染色显示腺癌组织学表现,p40阴性表达
图片尺寸637x534
求助!肝脏组织he染色结果分析
图片尺寸2560x1920
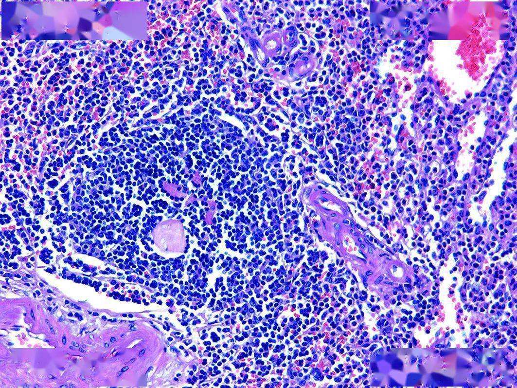
病例报告|胰腺内副脾误诊2例_患者_肿瘤_尾部
图片尺寸1063x797
求助求助想麻烦大佬们帮忙看看糖尿病大鼠心肌he染色病理变化怎么分析
图片尺寸2752x2208