lisfranc损伤图片

严重lisfranc损伤求治疗方案!
图片尺寸2160x3840
lisfranc损伤,是容易漏诊的足部外伤. - 抖音
图片尺寸1164x1920
低能量lisfranc损伤的微创治疗.诊断:低能量lisfr - 抖音
图片尺寸1920x1920
影像笔记:lisfranc损伤知识汇总
图片尺寸640x480
lisfranc 损伤,看这篇就够了!
图片尺寸657x622
lisfranc损伤看这篇就够了
图片尺寸1025x787
早读| 详述lisfranc损伤的诊疗策略
图片尺寸640x865
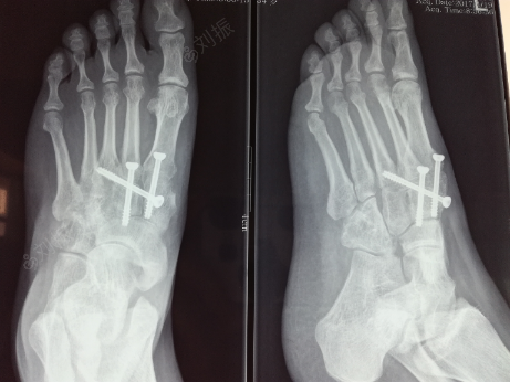
右足第二跖骨基底楔骨骨折并lisfranc损伤的治疗过程
图片尺寸3024x4032
解读关于lisfranc损伤的4个知识点
图片尺寸960x720
lisfranc损伤看这篇就够了
图片尺寸990x817
我的一例lisfranc损伤
图片尺寸1162x2540
解读关于lisfranc损伤的4个知识点!_手机搜狐网
图片尺寸978x895
lisfranc损伤 #骨折恢复记录 术后第27天! 脚 - 抖音
图片尺寸1440x2772
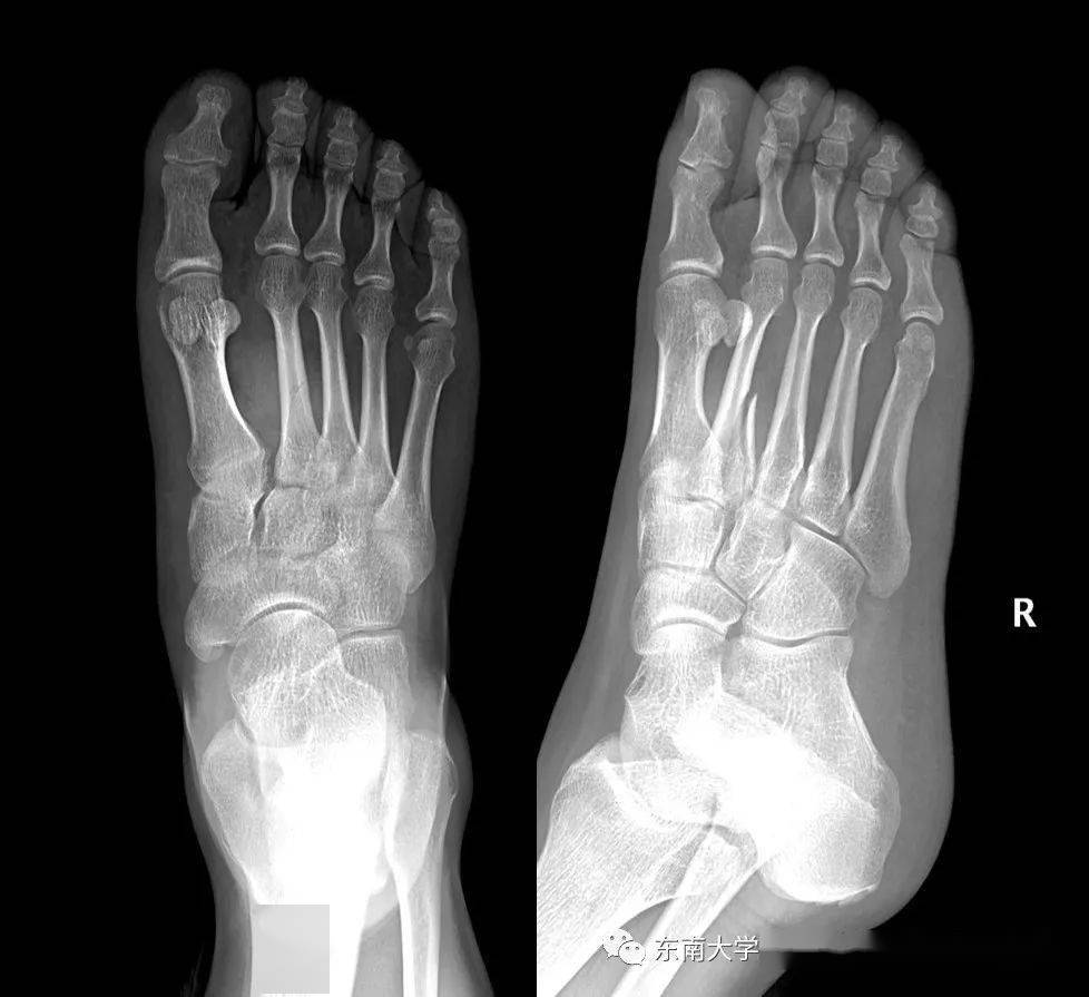
lisfranc损伤3-影像与分类
图片尺寸449x410
lisfranc损伤
图片尺寸400x300
攻坚克难隆林各族自治县人民医院成功为lisfranc损伤患者实施切开复位
图片尺寸1080x810
克氏针多而美---开放性lisfranc损伤
图片尺寸413x500
一文搞懂lisfranc损伤_关节_韧带_移位
图片尺寸811x323
骨科精读 | 易漏诊的lisfranc 损伤,八个知识点全面解析!
图片尺寸315x319
糖尿病患者电动车摔伤十小时就诊足部撕裂缝合完毕下地
图片尺寸4096x3072