meckel憩室

消化系-meckel憩室.jpg
图片尺寸525x700
梅克尔憩室的检查
图片尺寸293x220
麦克尔憩室的疾病病因
图片尺寸293x220
梅克尔憩室综述
图片尺寸960x720
谈谈美克尔憩室 (原创)
图片尺寸3120x4160
美克尔憩室患儿围手术期护理pptppt
图片尺寸860x645
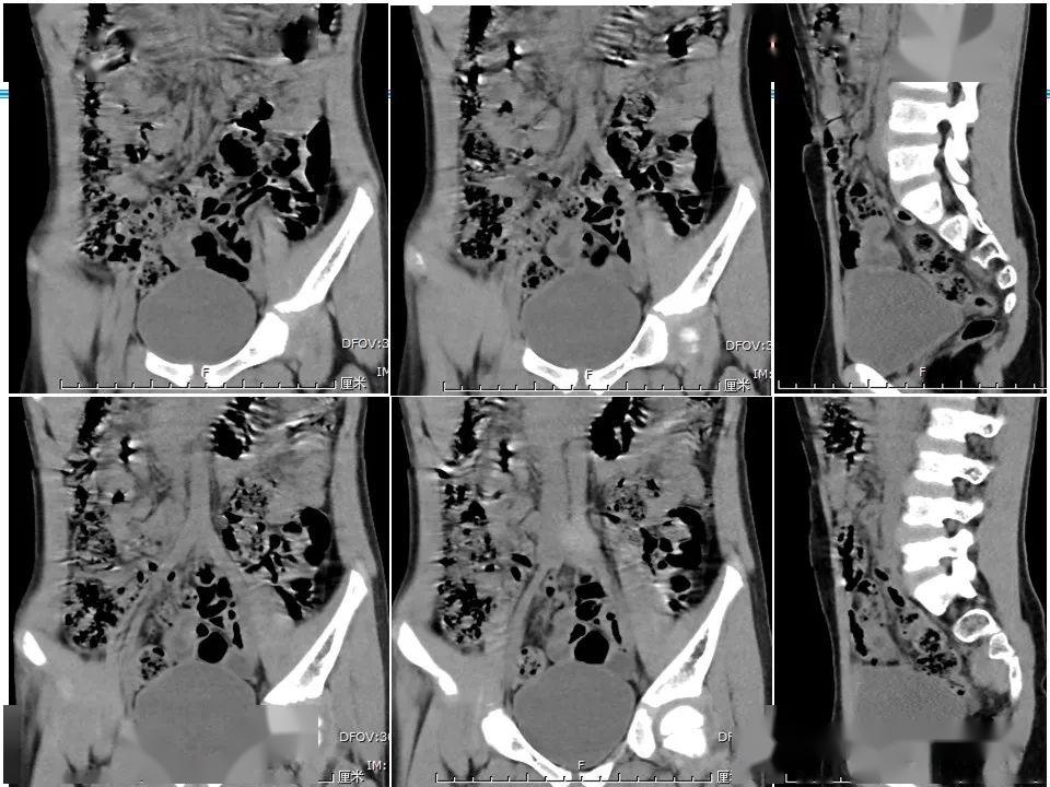
每日一例1052梅克尔憩室影像诊断
图片尺寸960x720
美克尔憩室有哪些症状
图片尺寸763x451
梅克尔憩室为什么要手术?手术有什么风险?术后需要注意什么. (原创)
图片尺寸600x800
美克尔meckel憩室切除术
图片尺寸663x641
补充梅克尔憩室
图片尺寸1182x602
美克尔憩室合并出血性休克
图片尺寸2448x3264
病例学习:胆石性肠梗阻合并 meckel 憩室 1 例
图片尺寸592x334
麦克尔憩室的影像学诊断课件1ppt47页
图片尺寸1152x864
每日一例1052梅克尔憩室影像诊断
图片尺寸960x720
梅克尔憩室(meckel diverticulum)其实就是我们正常肠管上多长了一个"
图片尺寸1080x810
每日一例1052梅克尔憩室影像诊断
图片尺寸960x720
麦克尔憩室美克尔憩室梅克尔憩室-疾病概述-疾病-微
图片尺寸417x411
掌握肠道造影看这篇就够了
图片尺寸640x484
从疾病清单中查看病例 脏器的形态异常 美克耳(meckel)憩室 导致消化
图片尺寸510x324