meyerct

美亚ct
图片尺寸1600x3467
2012 年,公司成功自主研发的口腔x 射线ct 诊断机并推向市场,成功打破
图片尺寸426x180
正畸,牙体牙髓治疗等各个细分领域的口腔cbct成为口腔机构的基本标配
图片尺寸456x520
种植体采用纯钛材料会影响ct成像磁共振检查结果.
图片尺寸1080x1738
5cm_三合一口腔ct_美亚光电meyer
图片尺寸1168x611
美亚光电营收2425亿元医疗设备增速551
图片尺寸787x375
goldcare tablets – meyer organics pvt. ltd.
图片尺寸393x480
引进先进的美亚口腔ct设备
图片尺寸2667x2000
900-lfc | meyer sound
图片尺寸1600x900
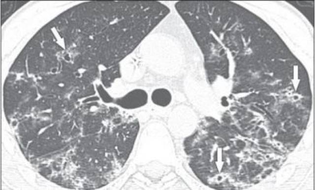
参考文献:kanne j p, yandow d r, meyer c a.
图片尺寸403x244![大庆微信商城开发[服务/报价]-一品威客网](https://i.ecywang.com/upload/1/img0.baidu.com/it/u=696750302,3920070415&fm=253&fmt=auto&app=138&f=JPEG?w=825&h=500)
大庆微信商城开发[服务/报价]-一品威客网
图片尺寸3508x2126
meyer digital 3d dental ct
图片尺寸725x274
文献6:henzler t, meyer m, kalenka a, et al.
图片尺寸903x387
这里的ct机和普通的诊所的仪器完全不一样满满的黑科技既视感只需要
图片尺寸1080x1620
上半年口腔ct订单超预期,全年目标仍为50%增长:从在手订单来看,18年上
图片尺寸567x378
梅耶音响 meyer sound产品系列
图片尺寸640x400
20 3=1?看看专家怎么为您解答
图片尺寸876x1280
meyer sound hd-1(パワードモニターsp)
图片尺寸640x480
美亚声meyersoundx800c双18寸影院低音音响
图片尺寸350x350
meyer sound 美亚mm-4xp音箱2只!
图片尺寸1024x1366