mirage是t图还是ct图

磁共振成像原理ppt
图片尺寸1080x810
本图为131i-mibg spect-ct显像(左侧肾上腺肿块伴腹膜后淋巴结肿大
图片尺寸1200x776
5t磁共振的临床应用ppt
图片尺寸1080x810
肺转移瘤ct(图)
图片尺寸700x606
mri基础知识ppt
图片尺寸1080x810
pet-ct"火眼金睛"揭露真身!
图片尺寸1200x1134
胸部ct影像示意图ppt
图片尺寸1080x810
10张图搞定正常头颅ct断层解剖
图片尺寸960x720
ct平扫和动脉期图像.
图片尺寸910x999
64层螺旋ct
图片尺寸780x540
【影像学基本知识】mr----t1,t2
图片尺寸1866x899
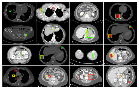
(实体肿瘤反应评估标准)标签的密集掩模的retinanet对ct病变的检测
图片尺寸1440x922
mri入门如何分辨t1wi与t2wi
图片尺寸640x918
ct来谈谈ct和mri到底有什么区别.我们从成像原理及各自特点为什么呢?
图片尺寸981x1000
伯爵cbct临床应用:查看上颌窦血管,规避外提手术风险伯爵cbct临床应用
图片尺寸1214x600
无忧文档 所有分类 高等教育 农学 腹部ct解剖与基本病变1 腹部ct解剖
图片尺寸754x1043
伯爵cbct临床应用:修复为导向的种植模拟 图一伯爵cbct临床应用:修复
图片尺寸1132x610
cbct影像资料
图片尺寸2667x2000
《csgo》mirage地图拱门ct打法心得
图片尺寸388x347
学习贴胸部ct肺段详解
图片尺寸640x480