muscularis

muscularis externa
图片尺寸1500x1067
1680s, from modern latin muscularis (from latin musculus; see
图片尺寸197x256
muscularis of small intestine
图片尺寸500x417
muscularis mucosae 粘膜肌层
图片尺寸1080x810
胃壁的组成 mucosa 粘膜层 submucosa 粘膜下层 muscularis 肌层 se
图片尺寸1215x810
消化系统ppt英文
图片尺寸1080x810
黏膜肌层(muscularis mucosa) 为薄层平滑肌,其收缩可使黏膜活动,有助
图片尺寸1300x1008
muscularis mucosae
图片尺寸375x500
大学课件组织学与胚胎学第十四章 消化管ppt
图片尺寸1080x810
消化系统病理学习
图片尺寸788x1051
layers of the esophagus: mucosa, submucosa, muscularis externa
图片尺寸500x375
-there are four mucosa submucosa muscularis
图片尺寸500x354
mucosa (epithelium, lamina propria (lymph nodes), muscularis
图片尺寸300x383
淋巴集结
图片尺寸450x600
on the vaginal mucosa, muscle, lamina propria and muscularis
图片尺寸750x1023
直肠癌肿瘤分期与手术方式医学课件
图片尺寸920x690
lamina propria; 06thin smooth muscle layer( muscularis mucosa
图片尺寸427x245
the muscularis externa (m) of the middle portion of the
图片尺寸1403x992
消化性溃疡讲课
图片尺寸920x690
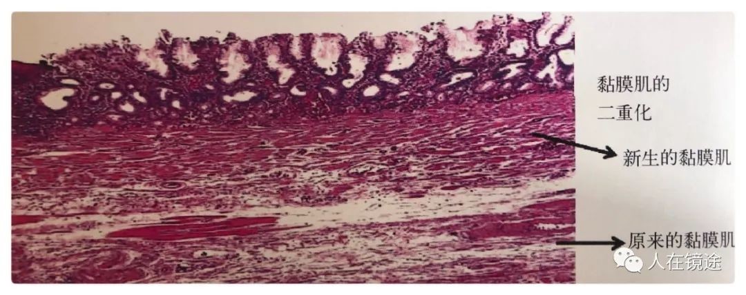
是barrett食管的特征性表现,表层的黏膜肌层(superficial muscularis
图片尺寸1080x428