neurocysticercosis

neuroscience insights
图片尺寸4961x6615
来看脑囊虫病能否根除
图片尺寸720x960
neuropharmacology
图片尺寸576x768
neuropsychological rehabilitation
图片尺寸270x405
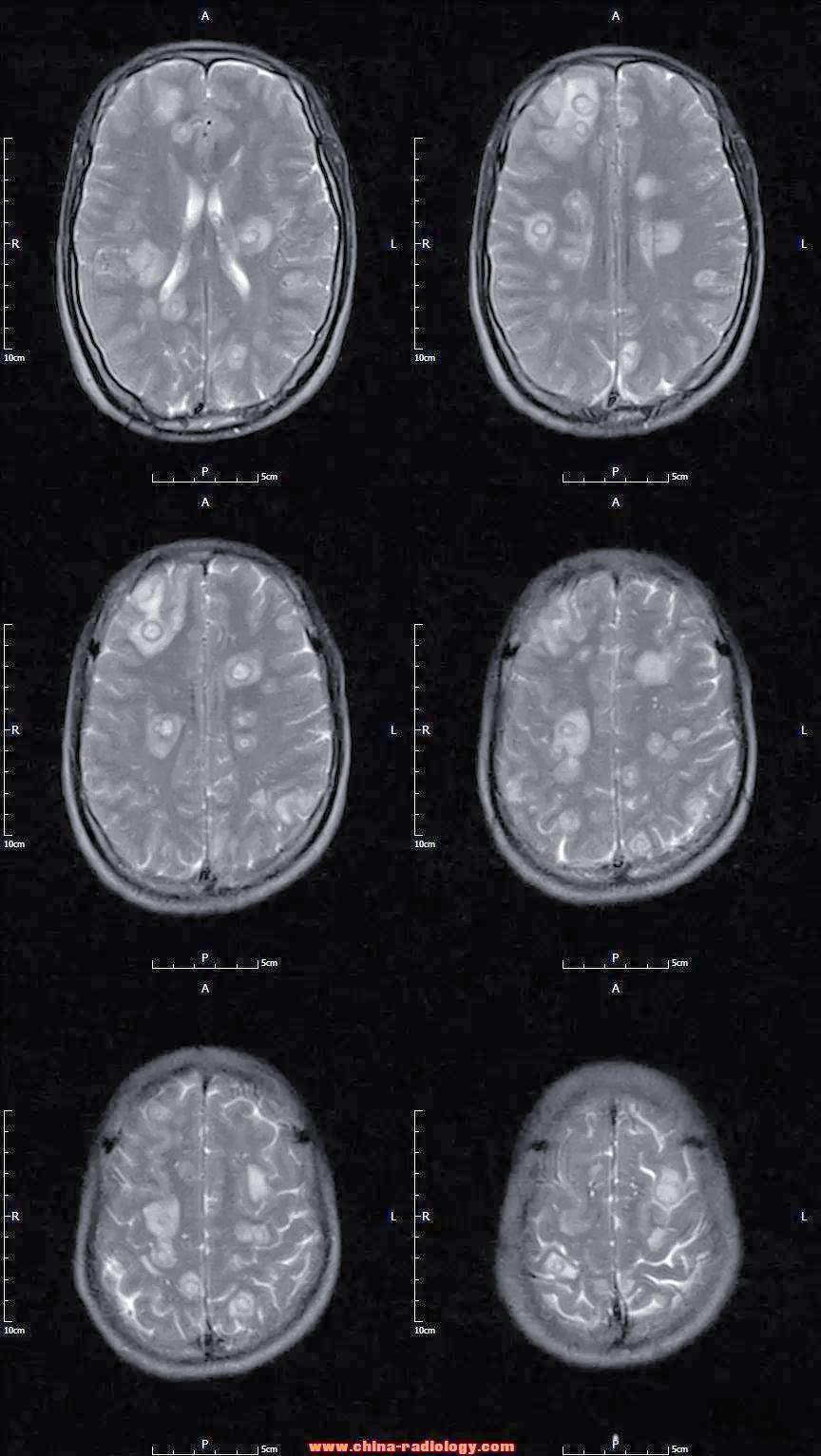
脑囊虫病
图片尺寸1300x730
molecular aspects of neurodegeneration, neuroprotection
图片尺寸240x361
theoretical neuroscience
图片尺寸270x367
术语缩写脑囊虫病(neurocysticercosis,ncc)同义词囊虫病定义由猪肉
图片尺寸977x781
囊虫病:一种常见的中枢神经系统寄生虫感染
图片尺寸864x1533
看懂mri神经影像,掌握这4个序列就够了!
图片尺寸640x648
吃生食感染寄生虫的风险太大,还是吃熟食更安全
图片尺寸700x494
囊虫病:一种常见的中枢神经系统寄生虫感染
图片尺寸864x1534
囊虫病:一种常见的中枢神经系统寄生虫感染
图片尺寸864x1513
全身长满密密麻麻的凸起,看到大脑 ct 后医生慌了
图片尺寸562x706
读cns看医学专业英语表述040
图片尺寸662x696
图片尺寸800x562
图片尺寸655x562
囊虫病:一种常见的中枢神经系统寄生虫感染
图片尺寸896x1515
septic cerebral venous thrombosis
图片尺寸1800x1365
期刊精华|neurology 5月刊:脑小血管疾病,降压速度,成人镰状细胞病,卵
图片尺寸977x1393