odontogenic

the suppressive effects of mir-508-5p on the odontogenic
图片尺寸1946x1184
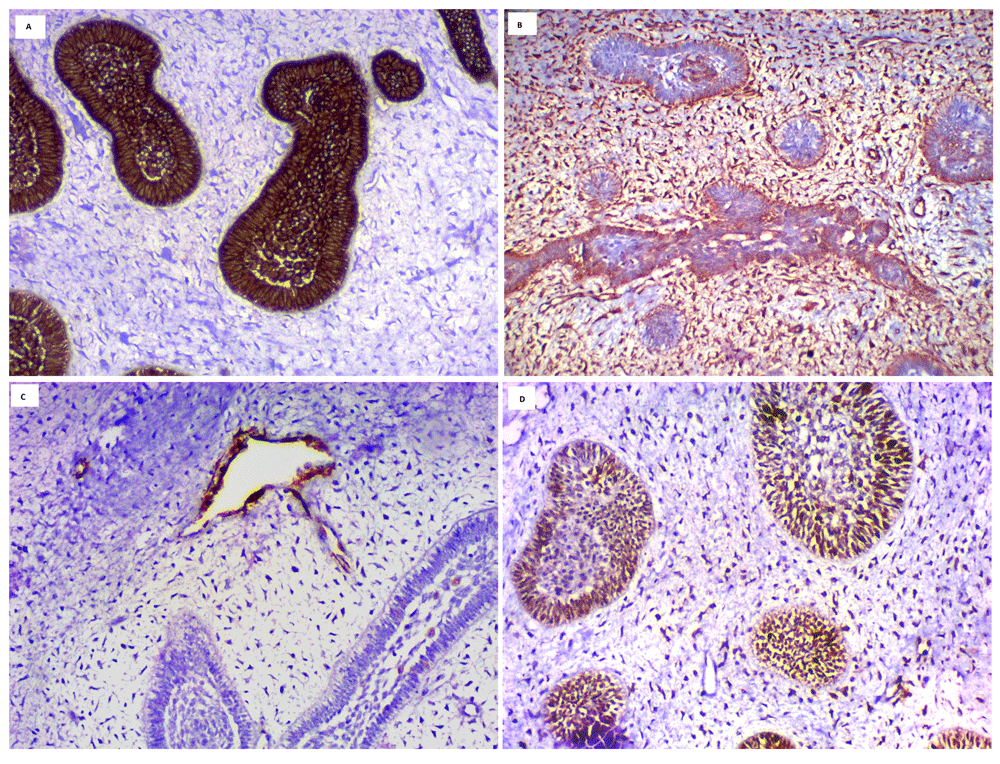
odontogenic ameloblast-associated protein (odam) inhibits growth
图片尺寸1200x526
the suppressive effects of mir-508-5p on the odontogenic
图片尺寸1946x1041
odontogenic ameloblast-associated protein (odam) inhibits growth
图片尺寸1200x1140
the suppressive effects of mir-508-5p on the odontogenic
图片尺寸1946x834
【4周达】odontogenic keratocyst
图片尺寸800x800
adenomatoid odontogenic tumor associated with dentigerous cyst
图片尺寸669x501
海外直订医药图书odontogenic infections 牙源性感染
图片尺寸800x800
【4周达】odontogenic keratocyst
图片尺寸800x800
【预订】histological typing of odontogenic
图片尺寸348x500
case report: odontogenic carcinosarcoma arising from amelo
图片尺寸1000x764
odontogenic ameloblast-associated protein (odam) inhibits growth
图片尺寸1200x1290
odontogenic tumor
图片尺寸1080x810
海外直订医药图书hybrid or combined odontogenic tumors 混合性或
图片尺寸800x800
osteo-/odontogenic differentiation of bmp2 and vegf gene-co
图片尺寸2126x1584
peripheral odontogenic fibroma: a case report and review
图片尺寸743x438
peripheral odontogenic myxoma: report of two new cases with a
图片尺寸600x374
口腔组织病理学实验(十八)牙源性肿瘤瘤样病变.ppt
图片尺寸1152x864
预订odontogenic keratocysts
图片尺寸267x400
odontogenic cutaneous sinus tract associated with a mandibular
图片尺寸778x575