osler结节和roth斑

指(趾)垫处红紫色痛性结节 osler结节 janeway损害 手掌,足底无痛性
图片尺寸1080x810
感染性心内膜炎在人们的认识中是怎样的?它有怎样的表现?
图片尺寸1080x810
osler结节图片
图片尺寸1280x854
指端出现osler结节
图片尺寸177x270
视网膜深浅层多个出血点,视网膜前出血,roth斑点(中心白点网膜出血
图片尺寸440x406
感染性心内膜炎/心肌炎/心包炎临床决策思维导图(d
图片尺寸1373x655
图4 janeway病变图5 osler结节五,roth斑又称中心白点视网膜出血,眼底
图片尺寸338x255
ie 临床表现 roth斑
图片尺寸1080x810
图 6 白色中心的出血灶即 roth 斑,它是视网膜中心出血后由于血小板
图片尺寸400x339
亚急性感染性心内膜炎的特征osler结节和roth斑及病原菌
图片尺寸1152x720
内科循环系统英文名称总结
图片尺寸1080x784
osler结节
图片尺寸4032x3024
roth斑:中心有白点的眼底出血斑.也可见于感染性心内膜炎,白血病.
图片尺寸595x460
隐藏的心脏病:11个你不可不知的皮肤病变线索
图片尺寸560x380
因眼底roth斑首诊于眼科的感染性心内膜炎一例
图片尺寸477x459
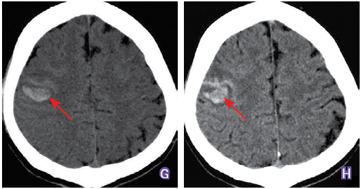
多发结节的hrct鉴别诊断攻略一文读懂
图片尺寸770x637
警惕!这些皮疹的根源在心脏
图片尺寸489x370
走错路正常细菌秒变恶魔丨卒中杂谈第9期
图片尺寸528x276
【眼底病讨论】roth斑?
图片尺寸640x490
图 6 白色中心的出血灶即 roth 斑,它是视网膜中心出血后由于血小板
图片尺寸400x389