stargardt病眼底图片

视网膜变性疾病
图片尺寸1376x1586
警惕!勿将晚发型1型stargardt病误诊为amd
图片尺寸609x678
今日份科普:stargardt病是什么病?
图片尺寸800x1069
眼科特检报告模板
图片尺寸3024x4032
警惕!勿将晚发型1型stargardt病误诊为amd
图片尺寸895x734
stargardt病的发展过程总结:1,中心性晕轮状脉络膜营养不良是一种罕见
图片尺寸2906x2343
stargardt病是什么病
图片尺寸500x567
正在"被攻克"的眼科罕见病
图片尺寸697x447
stargardt病?
图片尺寸4032x2339
眼底是全身唯一一个能用肉眼直接观察到
图片尺寸734x1602
诊间日记#以下三类人群尤其需要定期进行眼底检查,以确保及早发现并
图片尺寸690x690
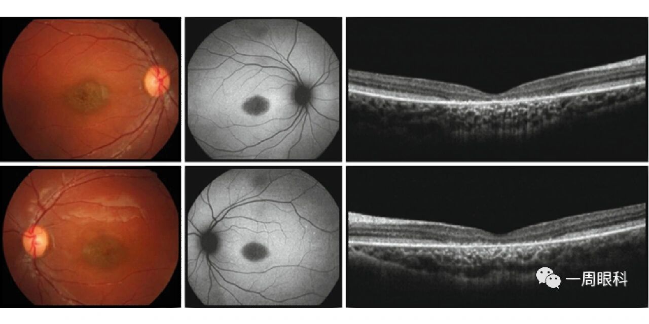
与前一个病人类似的stargardt病例眼底:眼底照片显示黄斑区色素紊乱
图片尺寸1280x586
科普: 高度近视引发的眼底病变相信有的小伙伴们去医院检查
图片尺寸1290x985
眼底出血会有哪些表现眼底出血不是一种单独的疾病而是多种眼部疾病和
图片尺寸477x477
预防糖尿病眼底病变,中医推荐 3 类食物!
图片尺寸671x589
视网膜变性疾病
图片尺寸575x484
典型的锥杆细胞营养不良眼底,与stargardt病仅累及黄斑区不同,这里
图片尺寸1264x863
眼底有个洞还可以在成都眼科医院做近视眼手术么手术到底安不安全
图片尺寸501x489
青少年性黄斑变性 青少年性黄斑变性
图片尺寸1280x640
每周最佳病例分享
图片尺寸922x506