tpg1狙击步枪

tpg-1狙击步配备650毫米不锈钢自由浮置式枪管,枪管外表面具有6条纵向
图片尺寸506x334
恒生指数一度涨2.7%,收盘涨1.79%,报18403.04点;恒生科技指数最高涨3.
图片尺寸660x260
tpg-1狙击步枪图片_百度百科
图片尺寸150x64
从外形上看,wa2000是把独特的武器,作为曾在007电影中出镜过的狙击
图片尺寸500x351
作为德国的又一款备受关注的模块化精品枪械,tpg-1狙击步枪在精准度上
图片尺寸480x638
tpg-1狙击步枪
图片尺寸220x147
5184_3456
图片尺寸5184x3456
全球另类资管巨头tpg正式启动ipo预计发行价格28至31美元
图片尺寸900x506
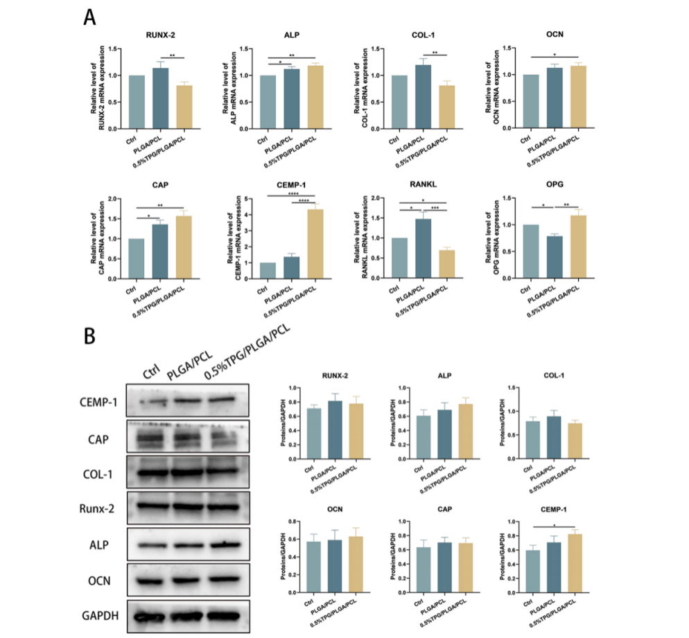
tpg功能化plga/pcl纳米纤维膜调节巨噬细胞极化,以促进牙周组织再生
图片尺寸994x921
tpg-1狙击步枪
图片尺寸250x67
网易首页>网易号>正文申请入驻>660_1174竖版 竖屏
图片尺寸660x1174
蚂蚁投资的这家公司正冲刺港股,旗下小贷公司增资1亿元
图片尺寸1080x1465
蚂蚁投资的这家公司正冲刺港股,旗下小贷公司增资1亿元
图片尺寸1017x2732
tpg与蚂蚁集团是股东中和农信执行董事分别为刘冬文博士,李真女士;非
图片尺寸1080x1009
1080_1080
图片尺寸1080x1080
图源:品牌官方渠道收并购01澳洲最大宠物用品店peto从超市巨头
图片尺寸660x440
中国产业投资和消费市场新机遇|2024中国绿公司年会
图片尺寸660x439
1080_993
图片尺寸1080x993
9%至2494.5亿日元,约合人民币115.8亿元,净亏损为32.9亿日元,约合1.
图片尺寸660x880
1080_418
图片尺寸1080x418