transwellassay

transwell检测
图片尺寸1901x1098
【原创】transwell结晶紫染色小结
图片尺寸2560x1920
transwell实验
图片尺寸612x293
3d gel invasion assay of gastric cancer cells with fibroblasts
图片尺寸709x380
重复1:transwell结果图片有重复.
图片尺寸975x769
集落形成和transwell实验结果总结整体来说这篇文章的分析内容很丰富
图片尺寸1080x653
【求助】transwell后结晶紫染色,请高手指点!
图片尺寸1280x960
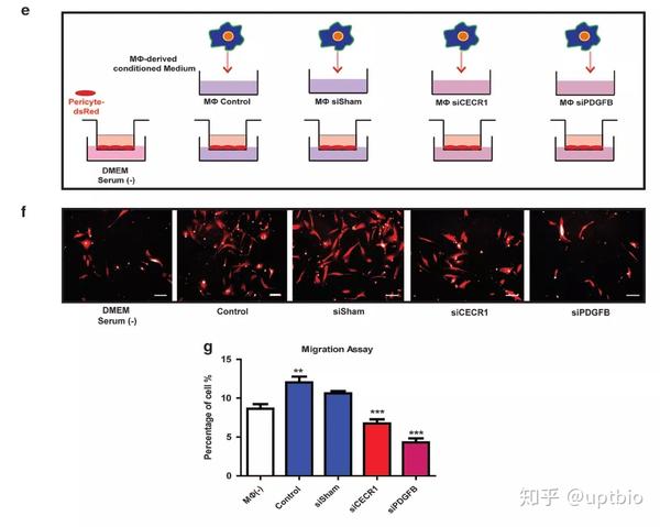
国自然大热肿瘤微环境肿瘤相关巨噬细胞与血管生成
图片尺寸720x575
关键基因已有研究教你如何借力打力发表高分文章
图片尺寸581x464
migration assay transwell
图片尺寸1026x1280
外泌体mir92a-3p-肝癌治疗的靶点
图片尺寸1270x1021
【求助】transwell后结晶紫染色,请高手指点!
图片尺寸1280x960
a photography and b quantitative assay of the transwell assay
图片尺寸784x468
transwell检测细胞迁移
图片尺寸1600x1200
零基础sci绘图13如何分析transwell穿过小室的细胞数量
图片尺寸693x559
transwell小室侵袭实验结果( ×40).
图片尺寸919x958
transwell迁移实验结果分析
图片尺寸4160x3120
【求助】最近做了transwell迁移实验,显微镜的原因照相的话只能照一
图片尺寸1984x1488
transwell拍照
图片尺寸1242x930
图 transwell实验检测不
图片尺寸700x507