wb实验结果图

wb实验结果差异大?可能是这些原因!
图片尺寸800x909
一种用于wb实验结果识别及统计学分析便捷方法
图片尺寸2560x1384
wb实验总结与心得
图片尺寸1066x1054
手把手教你跑出好看的wb实验结果图
图片尺寸541x458
wb图解读技巧分享
图片尺寸1020x1140
辉骏生物ip
图片尺寸392x375
wb实验典型问题分享
图片尺寸1242x1660
如何选择wb实验的最佳内参?一文搞定!
图片尺寸1080x1019
wb实验心得分享 📊
图片尺寸988x2024
图片尺寸776x977
wb曝光结果 原因分析最近做了三次wb实验 边做边参考小🍠
图片尺寸1280x1706
简单粗暴读懂文献中的wb结果图.简单粗暴读懂文献中的wb结果
图片尺寸1073x1412
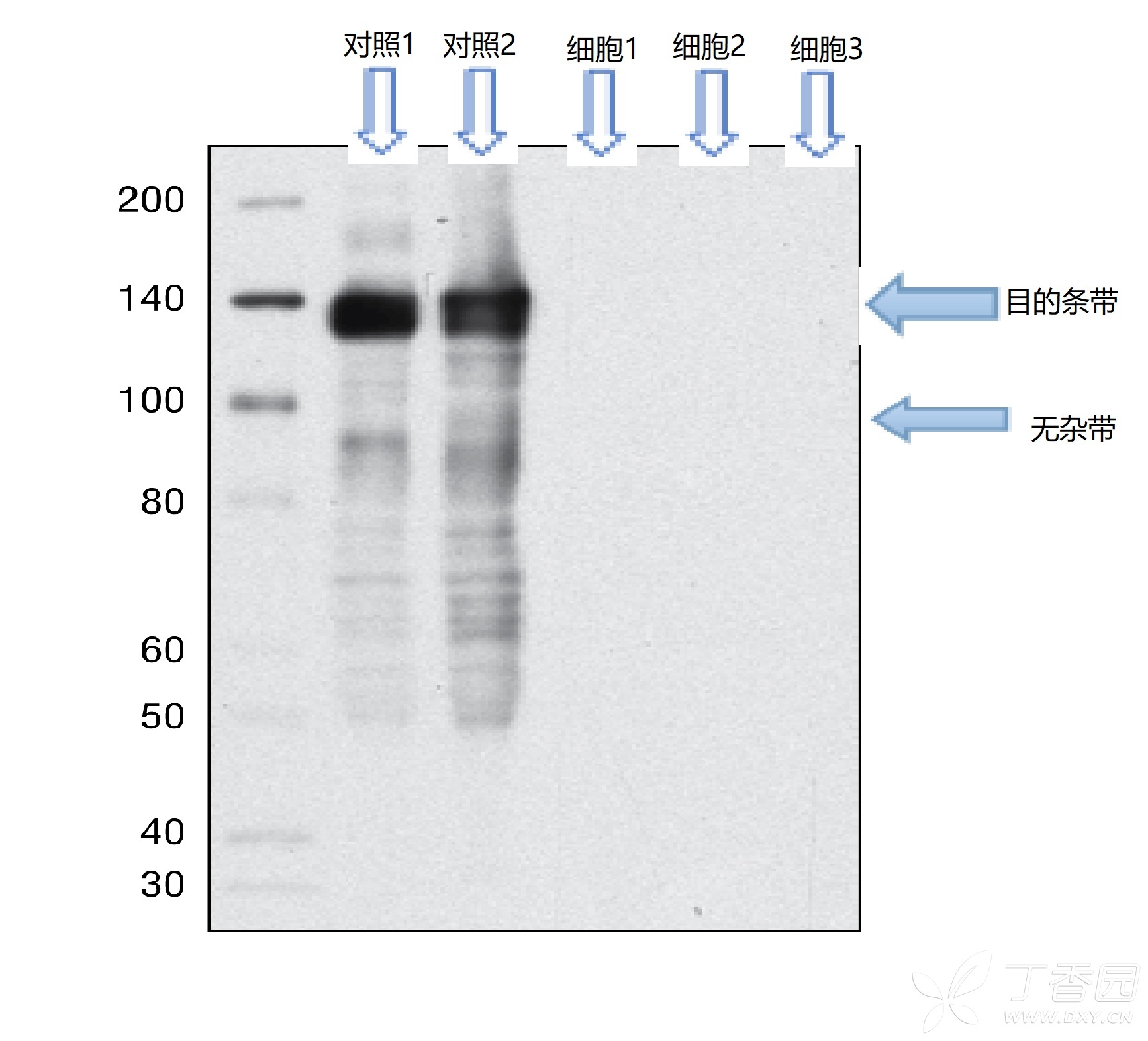
wb结果请高手指点
图片尺寸1734x1572
wb实验全流程详解,一步步教你搞定!
图片尺寸1920x2530
复旦大学附属妇产科医院的两篇论文被质疑,因重复使用wb图印迹
图片尺寸583x846
玩转泛素化蛋白修饰实验,看这一篇就够了!
图片尺寸455x568
🔥wb 常见问题结果及分析
图片尺寸1440x2038
师姐的史诗级 wb 结果图,竟然不用转膜?
图片尺寸660x448
wb实验详解,一文搞定!
图片尺寸1150x1157
wb 定量不准确?问题竟然出在内参上!
图片尺寸1080x682