willis环磁共振

大脑willis环的解剖及变异
图片尺寸350x387
脑内的willis环你知道吗
图片尺寸1080x441
willis环
图片尺寸1080x607
清晰的willis环:一例鞍上蛛网膜囊肿病例所见
图片尺寸602x694
willis环 - 抖音
图片尺寸1124x1076
图文并茂谈willis环:关于willis环的那些事儿
图片尺寸769x537
手工手绘展示willis环
图片尺寸1000x750
上图为磁共振血管成像中的正常大脑动脉环,下面两图为小丁(烟雾病)的
图片尺寸389x475
图文并茂谈willis环:关于willis环的那些事儿
图片尺寸769x668
图文详解willis环
图片尺寸670x505
两侧大脑前动脉缠绕?
图片尺寸3840x5120
头颈部血管解剖及willis环常见变异
图片尺寸640x560
手工手绘展示willis环
图片尺寸1000x750
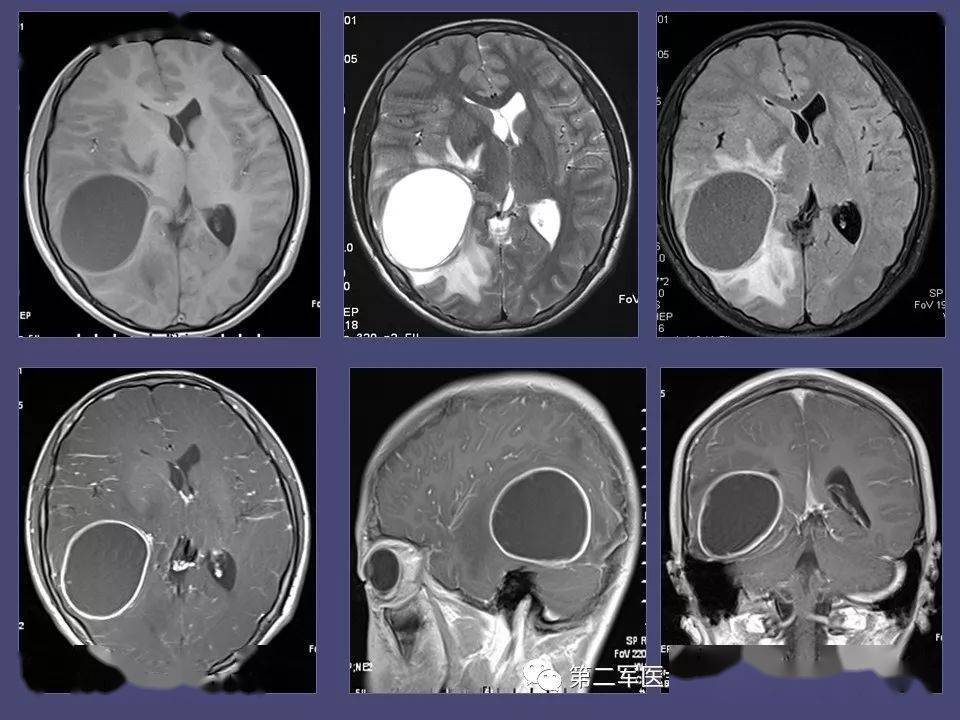
收藏脑内常见环形强化疾病的疾病诊断
图片尺寸960x720
安钢总医院脊柱微创中心首例内镜下纤维环缝合修复术——把腰椎间盘破
图片尺寸2667x2000
willis环正常结构
图片尺寸828x917
1997年,日本的脑底动脉环(willis环)自发性闭塞(moyamoya病)研究委员
图片尺寸734x744
······willis环显示(层厚
图片尺寸1080x608
必读▕头颈部血管解剖及willis环常见变异,建议收藏_腾讯新闻
图片尺寸960x720
willis环,大脑中动脉分叉部也是脑动脉瘤的好发区域,表现为局限性突出
图片尺寸800x400