前臂骨折

尺骨骨折轴(前臂骨):(前部和si)
图片尺寸700x809
儿童前臂双骨折的微创手术治疗
图片尺寸2000x2667
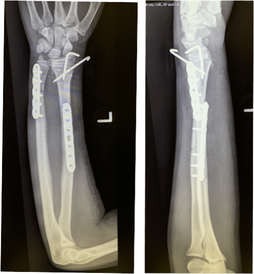
x线前臂长骨骨折判断左右的方法
图片尺寸1840x3264
关于新梁医院骨外科近期手术照展示
图片尺寸2000x2667
陈旧孟氏骨折.小女孩因为两个多月前前臂骨折(具体诊断不清), - 抖音
图片尺寸1440x1920
请大夫们帮忙看看十岁小孩右前臂桡尺骨双骨折的片子
图片尺寸1552x2592
(图片)手术治疗前臂双骨折 - 好大夫在线
图片尺寸1600x1200
前臂尺桡骨骨折的手术治疗
图片尺寸964x1376
前臂,尺骨,桡骨骨折x线照片.
图片尺寸562x1200
两个儿童前臂骨折争议病例之——元芳你怎么看
图片尺寸1080x480
前臂中段开放性双骨折
图片尺寸1152x864
一例前臂双骨折手法复位暂时避免了开刀讨论手法和手术治疗
图片尺寸2389x3045
儿童前臂双骨折的微创手术治疗
图片尺寸2000x2667
一例,小儿前臂双骨折术前片
图片尺寸1440x1080
前臂损伤尺桡骨骨折
图片尺寸497x536
儿童前臂不稳定双骨折这样做!很多医生都觉得很受用!
图片尺寸750x1000
甘肃省人民医院骨一科:骨折的非手术治疗(3)
图片尺寸1080x1080
前臂双骨折
图片尺寸1440x1080
甘肃省人民医院骨一科:骨折的非手术治疗(2)
图片尺寸2028x2021
肱骨骨折
图片尺寸2448x3264