肾结核x线

肾结核_肾结核血尿
图片尺寸452x546
肾结核
图片尺寸1280x960
肾结核如何演变看完这几个病例你可能就懂了
图片尺寸710x403
典型肾结核欣赏
图片尺寸863x4824
济民微创切病肾:肾结核病人的幸与不幸
图片尺寸750x1000
肾结核
图片尺寸1280x960
可怕的肾结核,早期不治疗你的肾会变成石头!
图片尺寸640x602
肾结核_钙化
图片尺寸506x370
肾结核如何演变看完这几个病例你可能就懂了
图片尺寸713x478
05.14 泌尿系统疾病——肾结核
图片尺寸548x412
第七章泌尿生殖系统第二节泌尿系统病变三泌尿系统感染三肾结核丨精品
图片尺寸839x637
肾结核_症状表现_治疗方式 - 好大夫在线
图片尺寸1440x1080
典型肾结核自截肾病例分享.
图片尺寸1200x1600
肾结核如何演变看完这几个病例你可能就懂了
图片尺寸703x352
市三院完成两例腹腔镜下肾结核毁损肾切除术
图片尺寸870x864
这类肾脏致密影不是单纯肾结石
图片尺寸1080x1272
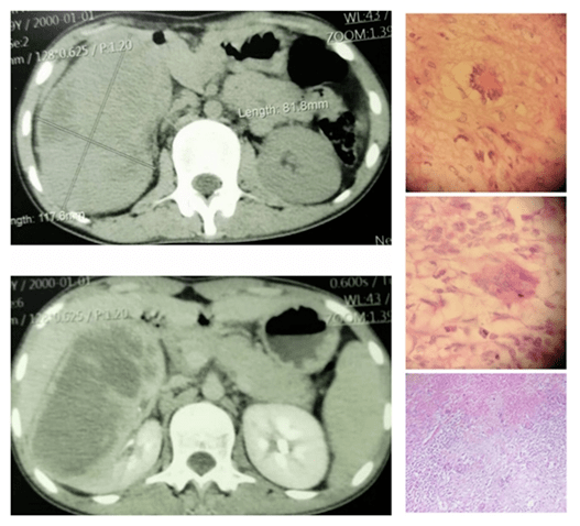
右肾结核瘤c.甲状旁腺功能亢进所致的右肾改变d.
图片尺寸192x539
05.14 泌尿系统疾病——肾结核
图片尺寸960x720
肾结核
图片尺寸527x478
肾结核与囊性肾癌!你会鉴别吗?
图片尺寸640x480