舌侧隐形托槽

40000元起;舌侧隐形矫正是目前比较先进的正畸技术,它是将托槽全部
图片尺寸500x333
舌侧面,牙齿矫正完全属于您个人的秘密;2,精巧光滑的托槽在牙齿内侧
图片尺寸690x523
舌侧隐形矫正虽好但价格偏高
图片尺寸562x367
舌侧托槽矫治
图片尺寸752x500
舌侧托槽牙齿矫正##舌侧隐形牙齿矫正#愿每一个人的牙齿都健健康康
图片尺寸3024x4032
牙齿隐形舌侧矫正图示
图片尺寸500x323
1,你没有搞清楚舌侧矫正的优缺点,一个显而易见的优势就是把托槽和弓
图片尺寸760x498
在佛山做舌侧隐形矫正我选的是雅度口腔佩戴感受是这样滴
图片尺寸510x398
舌侧托槽
图片尺寸457x380
舌侧矫治除了美观高效,还有利于预防牙齿龋坏
图片尺寸720x480
舌侧托槽只能高度个性化私人订制,且制作过程须由正畸专科医生基于
图片尺寸570x427
三明博悦口腔价格合理舒适隐形的舌侧矫正45000元起
图片尺寸600x416
舌侧隐形矫正器
图片尺寸500x500
舌侧隐形矫治器
图片尺寸500x337
新疆舌侧隐形正畸介绍
图片尺寸501x334
【详尽尺寸】 舌侧隐形矫正的托槽采用德国先进的dlp数字投影技术进行
图片尺寸1036x584
舌侧固定保持器
图片尺寸600x325
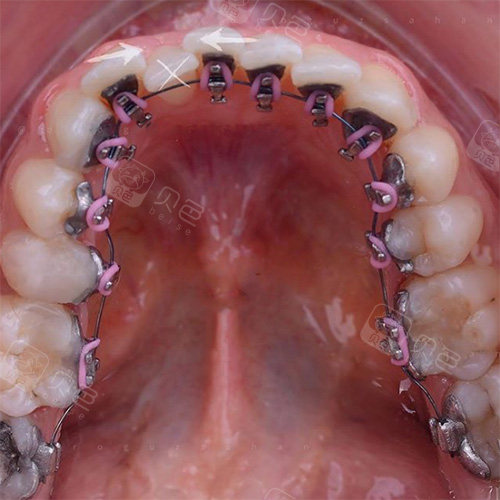
图6-3-1 舌侧上颌自锁托槽使用0.017英寸×0.025英寸不锈钢方丝
图片尺寸380x463
8 2013-01-28 舌侧隐形矫正牙套在广东省有买吗? 1 2012-12-23 隐
图片尺寸1279x858
这是一种将托槽粘在牙齿内侧的矫正方式,能够做到全隐形,同时还兼顾了
图片尺寸600x600