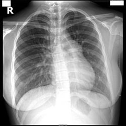
x线哑铃状阴影

你说有哑铃状就有哑铃状吧
图片尺寸1080x1035
淋巴管炎和肿大的肺门或纵膈淋巴结组成的哑铃状阴影
图片尺寸815x787
读胸部影像片,这 10 个特征性改变不可不知
图片尺寸434x406
分布平均,密度相似,巨细一致的粟粒状结节(原发性肺结核,哑铃状的原发
图片尺寸517x296
肺有结节状高密度阴影
图片尺寸1264x1568
我的x光片下面那些阴影是什么?
图片尺寸768x1024
看看这小孩的肺原发综合征
图片尺寸518x446
第42例特发性肺含铁血黄素沉着症iph
图片尺寸600x378
原发性综合症
图片尺寸941x745
肺结核的影像学诊断
图片尺寸655x441
肺部大片阴影影像诊断
图片尺寸960x720
不典型肺结核的影像学诊断
图片尺寸589x636
肺结核,肺结核症状,肺结核治疗,用药_药历网疾病大全
图片尺寸400x341
原发综合征
图片尺寸250x250
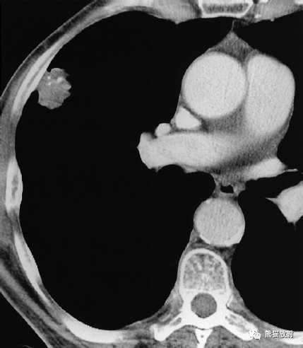
小部分肿瘤因肿瘤内营养不良性钙化导致不定形和云雾状钙化表现(小于
图片尺寸429x492
关于胸片阴影,拜托了谢谢!
图片尺寸356x450
各型肺结核的典型影像表现
图片尺寸600x450
12.06在局醉下为一位87岁骨质疏松性骨折患者行经皮椎体成型术
图片尺寸2000x2667
各型肺结核的典型影像表现
图片尺寸600x450
咳嗽等结核症状,可有高热 x线特征:均匀分布,大小密度相等粟粒状阴影
图片尺寸1080x810