纵隔气肿x线图片

纵膈气肿是指因各种原因致空气进入了纵隔胸膜内结缔组织间隙之间
图片尺寸800x980![纵膈气肿的典型x线征象-------横膈连续征9[1].jpg](https://i.ecywang.com/upload/1/img1.baidu.com/it/u=2199065635,2861808025&fm=253&fmt=auto&app=138&f=JPEG?w=444&h=413)
纵膈气肿的典型x线征象-------横膈连续征9[1].jpg
图片尺寸444x413
纵隔气肿——中心医院放射科胸部病例集锦
图片尺寸2667x2000
又一例纵隔气肿
图片尺寸3968x2976
nejm:与流感a相关的纵隔气肿
图片尺寸650x298
纵隔气肿了解一下
图片尺寸415x472
自发性纵隔气肿-案例报道
图片尺寸464x364
病例分享|c0vid-19患者并发纵隔气肿_腾讯新闻
图片尺寸718x708
肺气肿的影像学诊断(多图)
图片尺寸580x338
什么类型的肺气肿适合微创手术治疗
图片尺寸719x800
左:正常胸片,有边际效应;右:纵隔气肿患者胸片
图片尺寸640x384
一文总结「少见的杀手」纵隔张力性气肿全貌
图片尺寸606x399
自发性纵隔气肿--男性,17岁,因逐渐出现胸部中央非劳累性憋闷而前来
图片尺寸1280x917
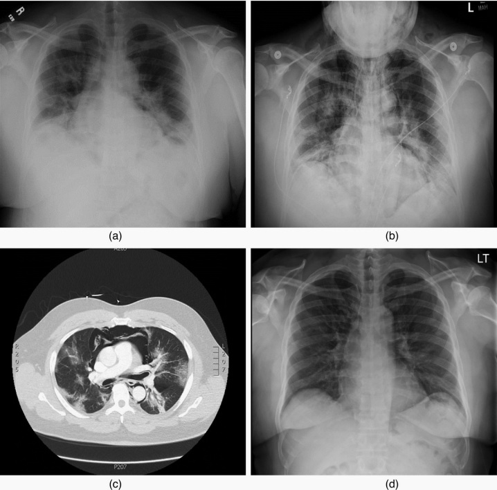
胸片(如图2)显示前纵隔肿块与主动脉-肺动脉软组织变化(a和b)和纵隔
图片尺寸365x435
纵隔气肿mediastinalemphysema
图片尺寸473x546
胸痛查因,平片示纵隔明显增宽.
图片尺寸592x542
常见纵隔肿瘤影像诊断| 影像天地
图片尺寸600x600
前上纵隔增宽高手来看看
图片尺寸3264x2448
图 7:纵膈气肿
图片尺寸483x409
又一例纵隔气肿
图片尺寸3968x2976